Образовательная платформа для врачей-стоматологов

Бесплатных просмотров

0

Для доступа к статьям без ограничений оформите подписку

  • Более 2200 статей
  • 3 новых статьи в неделю
  • Без автопродления

Оформить подписку

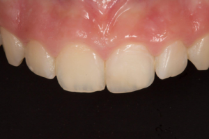
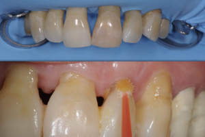
Виниры «без препарирования», когда и как

Stefan Koubi
style Italiano

Показания к методу « без препарирования» очень ограничены и могут быть обобщены следующим образом:

- Постортодонтическое лечение, требующее незначительной коррекции

- Небольшие коррекции в области улыбки ( тремы, диастемы)

Концепция лечения «без препарирования» в наши дни очень распространена, но для правильного планирования стоматолог должен иметь четкое понимание всех «за» и «против»

2548 просмотров

В избранное

Поделиться в соцсетях

Вход / Регистрация

Введите номер телефона, мы отправим вам СМС с кодом подтверждения

Номера телефонов могут начинаться только
на +7 (Россия) или +375 (Беларусь)