Образовательная платформа для врачей-стоматологов

Бесплатных просмотров

0

Для доступа к статьям без ограничений оформите подписку

  • Более 2200 статей
  • 3 новых статьи в неделю
  • Без автопродления

Оформить подписку

Молярно-резцовая гипоминерализация: долгосрочное лечение

Chiara Baroni
реставрационная стоматология

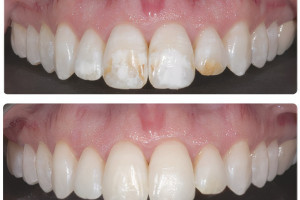
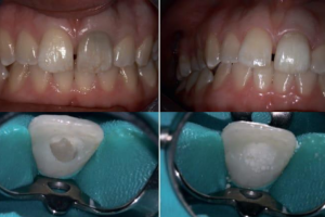
Испытуемый изначально принимал минеральные добавки казеин-кальций-фосфата. Неопубликованные лабораторные изображения, собранные в рамках ранее опубликованного исследования, отражают результаты влияния фосфата кальция на молярно-резцовую гипоминерализации и указывают на то, что эта процедура является обязательной при средних/тяжелых степенях тяжести. До восстановления дефекта проводилось отбеливание переднего сегмента с помощью биоактивированного Opalescence Boost. В качестве маскирующего агента использовали Filtek Supreme Ultra Universal Restorative, а в качестве последнего слоя - эмаль Filtek A2.

В данной статье описываются эстетические результаты коррекции гипоминерализованной эмали на передних и задних зубах для установления минимально инвазивного протокола вмешательства для аналогичных случаев.

Степень тяжести описанного случая была диагностирована в соответствии с классификацией молярно-резцовой гипоминерализации, предоставленной Oliver и Chawla и соавторами, с использованием индекса тяжести гипоминерализации моляров, основанного на дефекте, цвете, локализации, постэруптивном повреждении, установленных/заменённых реставрациях, а также на атипичной чувствительности. Эти характеристики могут быть полезны для прогнозирования эффективности лечения пораженных первых постоянных моляров и могут служить руководством для клинического ведения подобных случаев.

Снижение содержания минералов в эмали при молярно-резцовой гипоминерализации часто связано с повышенным содержанием органических веществ. Лечение эмали с высоким содержанием органических веществ с использованием бондинг-технологий может быть проблематичным, поскольку органический материал в эмали часто препятствует эффективному травлению. Задержка матричных белков эмали или поглощение органического материала в гипоминерализованной эмали может вызвать изменение цвета эмали, часто приводящее к желто-коричневому окрашиванию. С 2011 года это является основанием для применения фосфата кальция.

1340 просмотров

В избранное

Поделиться в соцсетях

Вход / Регистрация

Введите номер телефона, мы отправим вам СМС с кодом подтверждения

Номера телефонов могут начинаться только
на +7 (Россия) или +375 (Беларусь)