Сложной темой в диагностике и лечении зубов являются зубы с различными переломами и трещинами. Эти состояния характеризуются множеством различных историй, жалоб, симптомов, клинических и рентгенологических находок, вариантов лечения, предпочтений и исходов лечения.
Были предприняты попытки классифицировать переломы по видам. Ранняя попытка Talim и Gohil была достаточно сложной, а Silvestri и Singh упростили ее до системы, базирующейся на полных и неполных переломах. За ними последовала Американская ассоциация эндодонтистов (AAE), которая определила пять типов переломов зубов. Ни одна система еще не получила всеобщего признания.
С настоящим уклоном в доказательную стоматологию существует необходимость в доказательных методических руководствах для диагностики, профилактики и лечения переломов зуба. В связи с этим создание классификаций трещин зубов будет необходимо. Ее создание может занять время, но потраченные усилия будут оправданы. В качестве первого шага можно обозначить большой термин «переломы зуба» и все возможные варианты трещин относить к ним. Этот корневой термин можно разделить на три основных категории переломов, которые имеют сходства друг с другом (Таб 1): переломы коронковой части, вертикальные переломы зуба, переломы в результате травмы.
Таблица 1. Три подкатегории переломов зубов. Каждая субкатегория имеет сходства с остальными.
| Категории | Характеристики |
| Переломы коронок зубов | Спонтанные переломы, начинающиеся в коронке и прогрессирующие в апикальном направлении |
| Вертикальные переломы корня | Трещина, образовавшаяся в корне, может возникнуть в любой части корня; чаще появляются в депульпированных зубах. |
| Переломы вследствие травмы | Переломы зубов острого происхождения могут вовлекать коронку, корень или и то, и другое |
Переломы коронок появляются спонтанно и их этиологию трудно установить. Трещины обычно начинаются в коронковой части зуба и прогрессируют в апикальном направлении (Рис. 1). Эта категория будет позже описана более подробно.

Рисунок 1. Стандартный вид коронковой трещины на удаленном зубе (указано стрелкой). Эти трещины появляются в коронке и распространяются к апексу.
Вертикальные переломы чаще всего встречаются в эндодонтически пролеченных зубах (Рис. 2); случаи вертикальных переломов в витальных зубах были описаны, но встречались они у некоторых народов Азии со специфическими жевательными привычками. Вертикальные переломы в депульпированных зубах чаще всего появляются в апикальной части зуба и прогрессируют коронально; но иногда они появляются в пришеечной области и распространяются в длину. Диагноз обычно основывается на истории лечения (эндодонтическое лечение), рентгенологической картине и клинических проявлениях. В большинстве случаев зуб удаляется.

Рисунок 2. Рентгенограмма с показанным на ней верхнечелюстным первым премоляром с вертикальным переломом корня. Что характерно, такие переломы появляются в эндодонтически леченных зубах, и направление трещины обычно буккально-небное/язычное, хотя они и редко видны на снимках.
Переломы в результате травмы, как говорит нам сам термин, образуются в результате травмирующих событий во время занятий спортом, на работе, при физических воздействиях или в других подобных ситуациях. Эти переломы делятся на коронковые, коронковые/корневые и переломы корня. Существует еще один тип трещины, который связан с цементными «каплями» (Рис. 3); они имеют травматическую этиологию без травматизирующего воздействия.

Рисунок 3. Снимок правого центрального резца с цементной каплей в мезиальной пришеечной области. Зуб был подвержен травматизации 2 года подряд.
Переломы коронок зубов
Был предложен термин, для обозначения переломов, которые берут своё начало в коронках зубов. Термин «переломы коронок» был предложен в качестве общего термина, включающего в себя и симптоматичные, и асимптоматичные зубы. Употребляются и другие термины для конкретизации отдельных случаев; тем не менее всегда сложно дифференцировать различные виды переломов.
Зубы трескались столько же, сколько и существует человечество; в черепе, которому около 6500 лет, не просто найдены зубы с переломом, трещина была заполнена пчелиным воском, видимо, с целью убрать симптоматику. Недавно Gibbs создал термин «боль при отломе бугра» для ситуаций, когда появлялись симптомы, а при осмотре были найдены трещины под буграми, часто приводящие к полному отлому бугра (Рис. 4). Термин «синдром треснутого зуба» был предложен Cameron и сразу же был принят для симптоматичных зубов с наличием трещин в их коронках. Термин хоть и принят, слово «синдром» все еще вызывает вопросы. Синдром предполагает некоторую комбинацию признаков и симптомов, которые означают определённое заболевание или расстройство. В зубах с синдромом треснутого зуба предполагаемый диагноз основывается на наличие таких симптомов как боль при накусывании и реакцию на холодное. Пусть синдром треснутого зуба и не является синдромом, он стал настолько часто выявляться за последние 50 лет, что его пришлось принять для обозначения симптоматичных зубов с переломами коронок.


Рисунок 4. Переломы бугров. А. Графическая иллюстрация, показывающая обычное направление трещины бугра. Линия трещины обычно огибает пульпарную камеру, не затрагивая ее. В. Клинический пример перелома бугра; если пульпа не затронута, эндодонтического лечения можно избежать.
Другой используемый многими, включая Brynjulfsen и соавт. термин, - инфракция? Трещина. Это очень описательный термин, который обозначает неполную трещину без смещения фрагментов. Похожие термины: волосовидная трещина, неполная трещина зуба, перелом по типу зеленой ветки, треснувший зуб, коронально-корневая трещина и продольные переломы.
Два других термина представляют собой крайние значения переломов коронок. Линии трещин - это видимые трещины, затрагивающие только эмаль (рис. 5). Они могут распространяться на нижележащий дентин, но это обычно трудно определить. Они не связаны с симптомами, и лечение ведется по эстетическим показаниям. Другая крайность - это полный перелом зуба, который проходит через оба краевых гребня, обычно в мезио-дистальном направлении, полностью разделяя зуб на два отдельных сегмента (рис. 6). Для удобства в этой главе термин «перелом» обычно используется для различных переломов коронок.

Рисунок 5. Центральные резцы верхней челюсти с множеством трещин эмали (указано стрелками)

Рисунок 6. Премоляр верхней челюсти с мезиодистальным расколом
Характеристики трещин коронок зубов
Трещины коронок имеют прогрессирующий характер и могут быть описаны как нарушение целостности твердых тканей зуба. Они берут начало в коронке зуба со стороны пульпы и распространяются в направлении дентинно-эмалевого соединения, а затем апикально к корню (рис. 7). Некоторые трещины являются причиной отломок бугров, и они часто не затрагивают непосредственно пульпу. Переломы, расположенные более центрально на окклюзионной поверхности чаще затрагивают пульпу. Некоторые трещины симптоматичны, другие - нет. Как указано Ritchey и соавт., даже симптоматичные зубы трудно локализовать, поскольку симптомы нечеткие: дискомфорт при жевании и повышенная чувствительность к холодной пище и напиткам. Также озадачивает то, что если зубы с такими дефектами болят при накусывании, часто они не реагируют на перкуссию. Диагностика будет рассмотрена позже в этой главе.

Рисунок 7. Моляр с очень заметной трещиной, происходящей из коронки, которая распространилась от пульпы к внешним поверхностям как с мезиальной, так и с дистальной сторон зуба.
Частота встречаемости
Частота возникновения трещин в зубах не сообщается. Два исследования показывают, что от 2% до 3% стоматологических пациентов имеют трещины в молярах и премолярах; большинство из них протекает бессимптомно, поэтому частота появления симптоматических зубов может быть менее 1%. Другие исследования показывают более частую встречаемость зубов с трещинами, хотя большинство из этих случаев протекает бессимптомно. Разумной оценкой будет пять сломанных зубов на 100 взрослых в год.
Моляры и премоляры являются зубами, в которых наиболее часто встречаются переломы коронок. Переломы локализуются преимущественно в мезио-дистальном направлении (рис. 8), значительно реже в букко-лингвальном (рис. 9), а некоторые - в обоих направлениях. Brynjulfsen и соавт. отметили, что 10% переломов были расположены в центре, что указывает на вероятное поражение пульпы. Интересно, что в их исследовании в зубах верхней челюсти большинство (70%) линий перелома располагались по направлению к щечной поверхности зубов, тогда как в зубах нижней челюсти они были расположены ближе к язычной поверхности, также около 70%.

Рисунок 8. Удаленный моляр нижней челюсти с типичным мезиодистальным переломом коронки зуба. Это чаще встречается в зубах нижней челюсти.

Рисунок 9. Моляр верхней челюсти с трещиной коронки в щёчно-небном направлении; такие трещины чаще встречаются в зубах верхней челюсти.
Многие отчеты указывают, что зубы нижней челюсти, в частности второй моляр, чаще всего подвержен переломам, но другие исследования указывает на моляры верхней челюсти. В обоих последних исследованиях участвовали определенные группы пациентов; первая группа пациентов имела длительный анамнез невыявленных трещин, а вторая группа была исключительно корейцами. Влияние различных факторов на заболеваемость до конца не изучено. В исследовании, в котором были собраны результаты 12 предыдущих исследований, были выявлены следующие результаты: 48% зубов с трещинами были молярами нижней челюсти, 28% - молярами верхней челюсти, 16% - премолярами верхней челюсти, 6% - премолярами нижней челюсти и около 2% - другие зубы.

Рисунок 10. Два центральных резца с коронковыми трещинами, вероятно возникших в результате травм два года назад.
Необычный вид коронковых трещин был описан Berman и Kuttler. Они использовали термин «некроз от перелома» для зубов с трещинами, берущими начало на окклюзионной поверхности и прогрессирующие через пульпу на наружную поверхность корня. Некроз пульпы обнаруживался в отсутствии реставраций, кариеса или травм, и скорее всего был вызван продольными трещинами, распространяющимися от окклюзионной поверхности в пульпу.
При взгляде на общую картину не связанных с травмой трещин зубов, трещин коронок и вертикальных переломов, вертикальные переломы встречаются чаще, чем трещины коронок. Однако из-за минимальных эпидемиологических доказательств невозможно сказать точно, какие трещины встречаются чаще.
Характеристики болевых ощущений
Боль обычно является обычной жалобой, которая привлекает внимание пациента к проблемному зубу. То же и с трещинами коронок. Как отмечают авторы статей, боль при жевании - самая частая находка при симптоматичных трещинах.
Brännström предположил, что боль при жевании возникает из-за внезапного движения дентинной жидкости, когда части сломанного зуба двигаются независимо, активируя миелинизированные волокна A-дельта в пульпе и вызывая быструю и острую болевую реакцию. Стимуляция волокон A-дельта не вызывают воспаления ткани пульпы, что объясняет, почему жевательный дискомфорт возникает на самых ранних стадиях нарушения и, по-видимому, является общим симптомом для всех переломов, как бугров, так и переломов, непосредственно затрагивающих пульпу. Sutton также предположил, что периодическая резкая мгновенная стреляющая боль при жевании вызывается сгибанием и трением дентина вдоль линий перелома.
Особенная боль, возникающая при жевании, которую испытывают многие пациенты, - боль при снятии жевательного давления, относится к «отраженной» или «отпускающей» боли. Это можно использовать в диагностике, как предложил Ailor, пациенту можно предложить прикусить влажный ватный валик, если боль возникнет при размыкании, скорее всего в одном из антагонистов имеется перелом.
Боль появляется при изменении температуры, в частности от холодных раздражителей, что тоже является одним из признаков перелома, но менее специфичным, чем жевательный дискомфорт. Ritchey и соавт. отмечают повышенную реакцию на холодное, состояние, похожее на воспаление в пульпе, вызванное трещинами, через которые микроорганизмы проникают в пульпу. Brännström предположил, что воспаление раздражает пульпарные рецепторы С-волокон, которые и отвечают на изменение температуры. Реакцию на горячее пока не относят к симптомам, но они, безусловно, могут вызывать боль, в частности при возникновении воспаления в пульпе, сенсибилизируя рецепторы С-волокон и уменьшая болевой порог к холодовым и горячим раздражителям.
Разумно предположить, что зубы, которые болят при жевании, будут реагировать на перкуссию. Но этого не происходит при трещинах. Swepson и Miller предположили, что болезненность при перкуссии появляется при вовлечении пульпы, что не всегда происходит в случаях трещин, по крайней мере не на начальных этапах. Rosen выявил, что пока трещина не достигла уровня периодонтальной связки, локализовать сломанный зуб с помощью перкуссии очень сложно. К тому же, в случае перелома бугра пульпа прямо не повреждена, перкуссия не даст болезненного ответа.
Известно, что переломы коронок представляются необычными болями. Ritchey описал основные жалобы пациентов как нечеткую, блуждающую боль при жевании; что было дополнено Cameron, который включил в описание, что кроме блуждающего характера боли, она может маскироваться под другие состояния, такие как невралгия тройничного нерва. Это было так же заявлено Caufield. Дальнейшее затруднение описания боли в зубах с переломами заключается в том, что возникающее в результате воспаление пульпы может отражать болевые ощущения в другие области, иннервируемые пятой парой черепно-мозговых нервов, в результате чего боль может ощущаться в других не вовлеченных зубах и прилегающих анатомических участках.
Как Kahler и соавт., так и Brynjulfsen и соавт. подчеркнули тот факт, что боль при трещинах зубов может быть связана с длительной историей боли. Последняя группа сообщила о диапазоне от 3 месяцев до 11 лет в группе из 32 пациентов с недиагностированной длительной орофациальной болью из-за трещин зубов. Это указывает на то, что такие длительные анамнезы могут привести к развитию хронической орофациальной боли с гипералгезией. Другое наблюдение Brynjulfsen и соавт. заключалось в том, что в некоторых случаях симптомы боли не были вызваны жеванием или применением холодных раздражителей, а скорее были спонтанными болевыми ощущениями, затрагивающими диффузные орофациальные области. Часто боль ощущается перед причинным зубом, в отсутствие других причин. Болевая картина описывалась как иррадиация боли от зубов нижней челюсти на зубы верхней челюсти, шею, ухо, жевательные мышцы и височно-нижнечелюстной сустав (ВНЧС). Боль от зубов верхней челюсти редко проецируется на нижнюю. Важным наблюдением было то, что чем дольше длится боль, тем она более диффузная и часто приводит к головным болям.
Боль от сладкого так же может возникать в зубах с трещинами; скорее всего это связано с наличием микроорганизмов в трещине, которые вызывают воспаление в пульпе. Поскольку трещины коронок часто маскируются под другие состояния, такие как кариес, очень важно знать об этом и не исключать трещины при обычных стоматологических осмотрах при стандартных жалобах или при неясных клинических находках.

Рисунок 11. Прикусной тест с использованием влажного ватного валика. Пациент зажимает с силой до возникновения боли. Если при разжимании он почувствует внезапную острую боль, это то, что описывается как отраженная или боль расслабления, скорее всего это трещина коронки.
Этиология
Существуют два первичных фактора, приводящих к образованию трещин: естественные предрасполагающие причины, такие как окклюзионная анатомия и бруксизм, и ятрогенные причины, такие как инструментация и препарирование кариозных полостей. Тот факт, что в зубах с реставрациями часто возникают трещины коронок, побудил многих исследователей оценить ряд реставрационных факторов для определения этиологии нарушений зубов. В некоторых аспектах реставрационная стоматология была отмечена как потенциальный виновник. Самые часто упоминаемые - большие и плохо смоделированные реставрации. Seo и соавт. показали, что использование неадгезивных inlay вкладок из золота или амальгамы повышают риск возникновения продольных трещин в зубах.
Ещё один возможный фактор - использование штифтов для армирования больших реставраций, особенно штифты с резьбой и замковые штифты.
Истирание, эрозия и кариес также могут способствовать развитию трещин, наряду с возрастными изменениями дентина, привычками и быстрому изменению температуры. Предполагается, что последнее вызывает нарушения около эмалево-дентинной границы и приводит к нарушению связи дентин-эмаль. Этим повреждающим силам противостоит коллагеновая структура дентина, которая предотвращает образование и распространение трещин. По мере того как дентин теряет способность к пластической деформации, он становится более склонным к развитию трещин, о чем свидетельствует увеличение их количества с возрастом.
Помимо конструкции и размера полости, сам процесс препарирования зуба также может быть опасным. Есть подозрение, что использование как высокоскоростных наконечников, так и алмазных боров может привести к образованию трещин. При использовании алмазных боров возникают подповерхностные трещины от эмали до дентина. Неясно, будут ли такие трещины прогрессировать так же, как и видимые трещины эмали. Эти трещины могут иметь размер от 1 до 20 мкм и обычно заполнены органическим материалом, который довольно легко окрашивается.
Сам акт жевания также участвует в развитии трещин. Жевательные силы от повторяющихся окклюзионных нагрузок и определенные типы продуктов могут способствовать возникновению этой проблемы. Несомненно, случайное накусывание твердых предметов может привести к повреждению зубов и нарушению их целостности. Бруксизм и сжатие зубов, часто сочетающиеся с заклиниванием бугров в противоположных фиссурах, могут быть сильной нагрузкой для зубов. Учитывая силу прикуса до 90 кг на первых молярах, очевидно, что эти зубы подвергаются сильной нагрузке. Yeh ввел термин «усталостный перелом корня» для описания нагрузки на зубы в сочетании с определенной диетой.
Острая травма зубов также может быть причиной переломов зубов. Makkes и Folmer описали ситуацию, в которой травма центрального резца у ребенка привела к вертикальному перелому корня, который был обнаружен лишь спустя годы.
Зубы подвергаются различным травматическим и стрессовым ситуациям, многие из которых приводят к повреждениям, таким как трещины коронок. В отличие от кости, в которой может происходить сращение переломов, восстановление дентина и переломов эмали не происходит.
Диагностика трещин коронок зубов
Одна из трудностей при постановке диагноза трещины коронки заключается в том, что трещины могут быть скрыты под реставрациями; (рис. 12), кроме того, сломанные зубы не всегда могут быть симптоматичными или могут периодически давать симптоматику. Клинически симптоматичные переломы зубов сбивают с толку, потому что они часто имитируют симптомы других заболеваний, таких как боль в ухе, синусит, дисфункция височно-нижнечелюстного сустава и даже невралгия тройничного нерва и другие неврологические болевые состояния. Когда проблему сложно установить, это может привести к длительному болевому синдрому, который становится более диффузным, делая локализацию пораженного зуба еще более сложной. Многие зарегистрированные случаи длительной орофациальной боли были связаны с обнаружением трещин и переломов в зубах.

Рисунок 12. Моляр верхней челюсти с подозрением на перелом коронки. Мезио-окклюзионную пломбу из амальгамы пришлось удалить, чтобы увидеть трещину (стрелка), которая была прокрашена красным красителем.
Диагностика симптоматичных трещин зубов проводится на основании симптомов, клинических и рентгенологических данных и истории болезни. Следует подозревать трещину, если симптомы зубной боли не связаны с признаками кариеса, пародонтита или недавней травмы. Внимательный врач будет действовать осторожно в случае, когда трудно установить точный диагноз, чтобы не действовать на основании неправильного диагноза. К этим сложностям добавляется идея, указанная Brynjulfsen и др., что чем больше времени требуется для постановки диагноза, тем более диффузной становится боль.
Симптомы
Наиболее частыми симптомами, связанными с симптоматичными переломами зубов, являются боль при жевании, за которой следует боль от холодной пищи и жидкостей и в некоторых случаях от сладкого. Интересно отметить общее отсутствие чувствительности от горячего. Это, вероятно, связано с ранними стадиями пульпита, который может присутствовать, когда зубы с трещинами коронок становятся симптоматичными.
Как уже отмечалось, не все зубы с трещинами имеют симптоматику. Симптомы развиваются, когда в трещине появляются микроорганизмы, стимулирующие воспаление пульпы. Локализация становится понятна, когда трещина достигает периодонтальной связки, обычно в области гребневой связки, где присутствуют проприоцептивные нервные волокна, которые отсутствуют в пульпе.
История симптомов пациента может быть полезна при постановке диагноза перелома коронки зуба. Распространенная, длительная боль, не связанная с легко диагностируемым пульпитом, вызванного кариесом, должна навлекать подозрение на перелом зуба. Учитывая, что симптоматичный перелом коронки на самом деле не является распространенным стоматологическим заболеванием, его следует учитывать, когда исключены более простые состояния.
Клиническое обследование
Окончательная постановка диагноза симптоматического перелома коронки требует не только сбора анамнеза, но и данных клинического осмотра. Обычно он начинается с основной жалобы на боль при жевании, возможную чувствительность к холодному и сладкому. Отсутствие признаков кариеса должно насторожить в сторону возможной трещины зуба, и в большинстве случаев клиническое обследование может помочь определить зубы с трещинами.
При визуальном осмотре можно обнаружить разные признаки трещины, особенно при помощи трансиллюминации (рис. 13) и красителей, таких как метиленовый синий или красный краситель (рис. 12). Возможность использования трансиллюминации зависит от того, есть ли реставрация на зубе, так как луч света должен пройти через зуб; если есть трещина, свет преломляется и не проходит напрямую, так что противоположная поверхность зуба будет темной. Вдобавок, микроскоп также может быть очень ценным помощником в поиске трещин, но одно только увеличение не стоит использовать как самостоятельный способ поиска трещин. В сочетании с нанесением красителя трещины станут видимыми.

Рисунок 13. Пример мезиодистальной трещины (указано стрелкой) в верхнечелюстном моляре, отпрепарированном под коронку, обнаруженной с помощью трансиллюминации
Поскольку существующие реставрации могут прятать под собой трещины, необходимо убрать ее для обнаружения линий переломов (рис. 12). Это становится важным этапом обследования, когда симптомы обширны, а боль локализовать невозможно. Brynjulfsen и соавт. методично убирали реставрации по одной с каждого зуба, чтобы обнаружить трещины зубов у пациентов с длительными недиагностированными орофациальными болями.
Важный этап клинических исследований - это байт-тест (накусочный тест). Рекомендованы многие варианты, такие как накусывание резинового сепарационного диска (Burlew), ватных палочек, влажных ватных валиков (рис. 11) и специальных накусочных аппликаторов, таких как ToothSlooth (Professional Results Inc., Laguna Nigel, CA) и Fractfinder (Denbur, Oak Brook, IL). Ailor предложил, накусывать ToothSlooth разными частями пломбы и бугров, чтобы отличать боль из-за пломб с микроподтеканиями от боли при переломах зубов (рис 14)

Рисунок 14. Демонстрация использования ToothSlooth для дифференцирования перелома бугра и микроподтеканий пломбы как источника боли при жевании. Кончик ToothSlooth помещается либо на бугор, либо на поверхность пломбы.
Очень важной реакцией на накусывание является боль при разжимании зубов, которую называют отраженной или болью расслабления. Kahler и соавт. объясняют такую боль снятия напряжения с движением жидкости при быстром закрывании трещины. Влажный валик показал хорошие результаты в стимулировании отраженной боли, став хорошим вспомогательным элементом в постановке диагноза.
Холодовая проба и электроодонтометрия (ЭОД) предоставят информацию о состоянии пульпы, и есть доказательства того, что зубы с трещинами реагируют на более низкие пороговые раздражение на холод и ЭОД по сравнению с зубами без перелома. Поскольку у любого зуба с воспалением пульпы снижен порог болевой чувствительности, не особенно важно, что зубы с трещинами. Но это можно добавить к общей информации о зубе.
Cameron предложил проводить тонким острым зондом вокруг шейки зуба, где предполагается наличие трещины, особенно в интерпроксимальных областях, где непонятно, это большая реставрация или полная коронка. И цепляющийся за край трещины зонд, и реакция пациента как при гиперчувствительности могут быть подсказкой. Ещё одной подсказкой может стать резкая боль при зондировании краев больших реставраций - это может означать наличие перелома.
Болезненная перкуссия не так характерна для зубов с трещинами, как боль при накусывании. Объяснением можем служить тот факт, что трещины коронок появляются внутри и распространяются к периферии, так что зуб невозможно определить по перкуссии, пока трещина не достигнет периодонтальной связки.
Зондирование пародонта является неотъемлемой частью стоматологического осмотра и также необходим при обследовании зубов с трещинами. Hiatt писал, что при зондировании мы ищем узкие глубокие карманы в области трещины, а Ailor предположил, что если дно кармана ниже альвеолярной кости, зуб не подлежит восстановлению (Рис. 16). Так как карман около трещины очень узкий в отличие от карманов в области вертикальных переломов депульпированных зубов, иногда требуется обезболить ткани переждал зондированием.

Рисунок 15. Трещины ниже краев коронки может быть сложно найти. Зондирование острым инструментом по окружности шейки зуба может помочь обнаружить трещину: зонд может зацепиться за края и щелкнуть (указано стрелкой). Некоторые пациенты могут почувствовать внезапную острую боль.

Рисунок 16. Иллюстрация пародонтального зондирования длинного узкого кармана в области трещины зуба. Такое зондирование лучше выполнять под местной анестезией, оно может показать примерную длину трещины по корню.
Рентгенологическое исследование
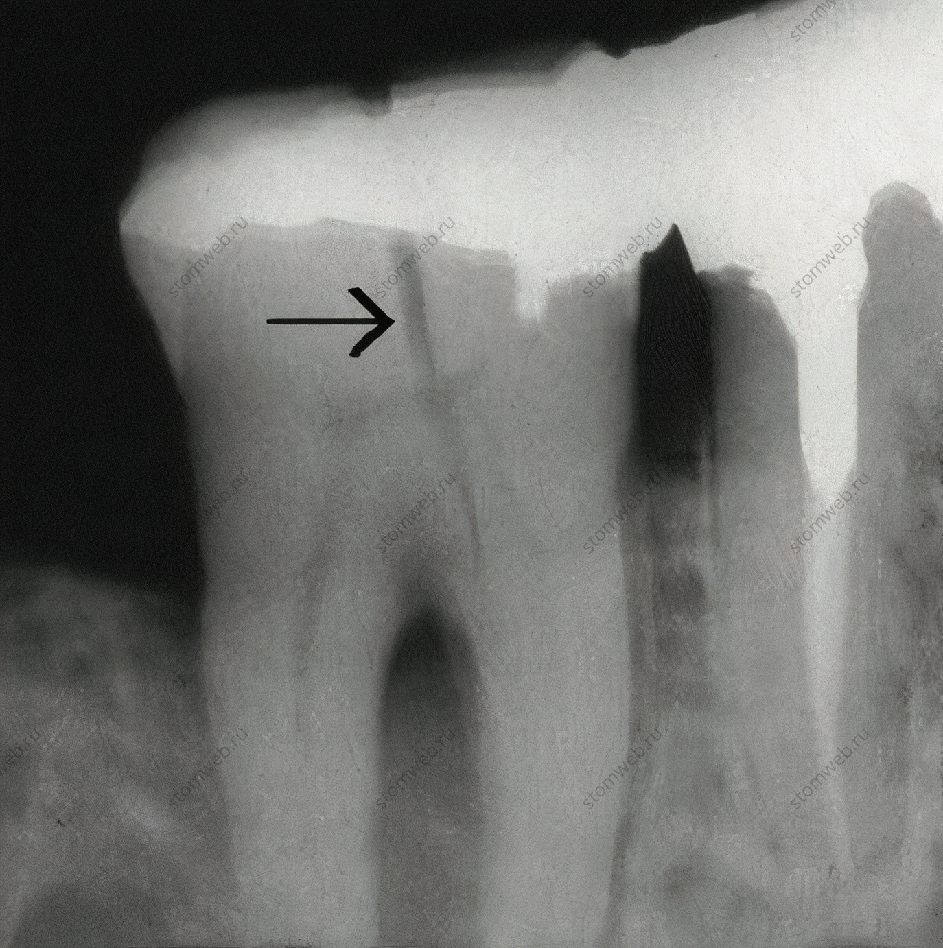
Принято, что рентгенологическое исследование, хоть и критично важно для других случаев, редко информативно при подозрениях на трещины. Это из-за того, что линия перелома в большинстве случаев проходит в мезиодистальном направлении, и рентгеновский луч проходит перпендикулярно линии перелома. Однако, если перелом проходит в букколингвальном направлении, на снимке будет четко видна линия трещины (Рис. 17)

Рисунок 17. Рентгенограмма нижнечелюстного моляра с показанной трещиной (стрелка) в букко-лингвальном направлении. Поскольку рентгеновский луч проходит параллельно трещине, ее видно на снимке.
Конусно-лучевая компьютерная томография (КЛКТ) сделала рентгенологические исследования для всех стоматологических патологий значительно более визуализированными, чем когда-либо до этого. На КЛКТ можно легко обнаружить вертикальные переломы. Но эта технология не так хорошо работает с трещинами коронок. Если есть серьезные подозрения, что мы имеем дело с трещиной, но клинических данных не хватает для окончательной постановки диагноза, можно направить пациента на КЛКТ с шагом среза 0.2 из-за маленького диаметра трещины. КЛКТ для диагностики трещин коронки нужно делать избирательно и предпочесть более безопасные методы, если такие имеются.
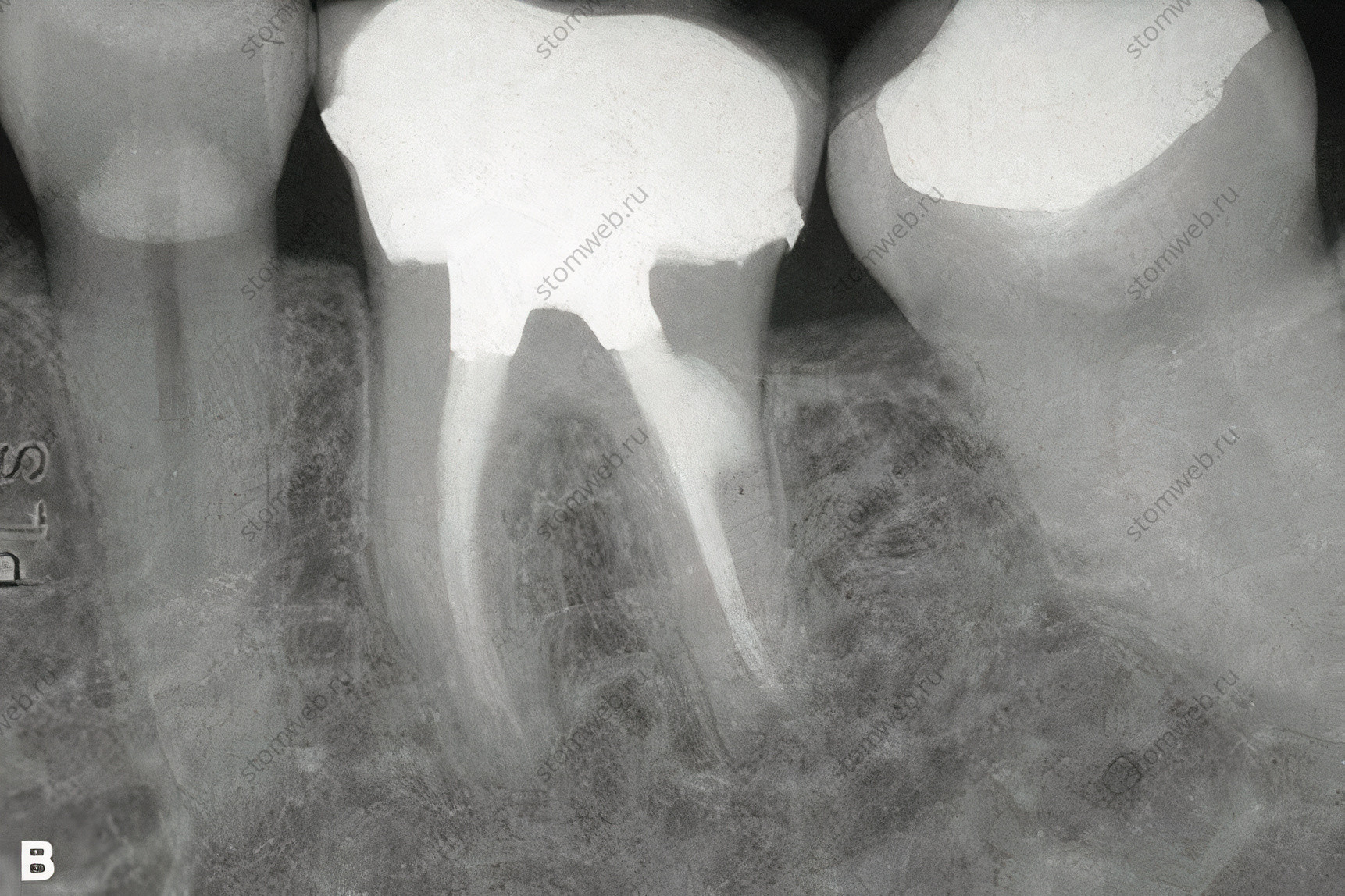
Одно патологическое состояние, к которому может привести трещина коронки и которое можно увидеть на снимке - внутреннюю резорбцию из-за воспаления пульпы, вызванного бактериями (Рис. 18). Этот вид внутренней резорбции уникален, он примыкает к пульповой камере, и его часто путают с инвазивной внешней резорбцией. Наличие трещины, связанной с резорбцией, и отсутствие сообщения дефекта с тканями пародонта подтверждает диагноз.


Рисунок 18. Иллюстрация внутренней резорбции, связанной с трещиной. А. Симптоматичная трещина, расположенная на дистальный поверхности нижнечелюстного моляра. На снимке показана локализация резорбции (указано стрелками). В. Снимок после эндодонтического лечения и покрытия коронкой. Резорбция имела сообщение с витальной пульпой в том месте, где трещина входила в полость пульпы; внешнего сообщения не было.
Будущие диагностические варианты
В то время как многие переломы зубов можно довольно легко диагностировать с помощью нескольких простых шагов, другие часто очень трудно обнаружить и требуют значительных усилий. Существует необходимость в дополнительных средствах для обнаружения переломов зубов; исследуются различные возможности, включая применение ультразвука. Этот метод может иметь потенциал для дополнения рентгенографии в качестве метода визуализации путем выявления физических разрывов (нарушений) в твердых тканях, таких как эмаль и дентин. Применение ультразвука используется в промышленности для той же цели и, если бы оно было разработано в стоматологии, было бы большим подспорьем в обнаружении переломов зубов; было показано, что он способен визуализировать трещины в имитируемой структуре зуба.
Другой ультразвуковой метод заключается в использовании мощности ультразвука для нагрева линии трещины, что позволяет обнаружить ее с помощью термографии.
Различия трещин коронок и вертикальных переломов
Существуют довольно четкая разница между зубами с трещиной коронки и вертикальным переломом. В первом случае жалобы в основном на резкую, внезапную отраженную боль при жевании определенной пищи. Пациенты с вертикальными переломами жалуются на постоянную ноющую боль в треснутом зубе.
Другое отличие заключается в возможности локализовать зуб; зубы с трещиной коронки часто трудно идентифицировать, в то время как зубы с вертикальными переломами найти проще. Хотя жевание может вызывать реакцию в обеих ситуациях, чувствительность к перкуссии более выражена у зубов с трещинами коронок.
Рентгенологически зубы с вертикальными переломами часто легко распознаются, в то время как зубы с трещинами редко идентифицируются на рентгеновских пленках или датчиках; это потому, что обычно направление переломов мезио-дистальное в зубах с трещинами, тогда как чаще всего лингвально в зубах с вертикальными переломами. Таким образом, во втором случае рентгеновские лучи проходят параллельно линиям трещин и перпендикулярно трещинам в первом случае.
Лечение
Любое варианты лечения зубов с трещинами коронок должно включать осознание того, что ни дентин, ни эмаль не могут быть окончательно воссоединены после появления линии перелома. Таким образом, лечение - это попытки (одни лучше, чем другие) предотвратить разделение твердых тканей и бактериальную колонизацию линий перелома, насколько это может быть возможно. Цель лечения - «связать» зуб с трещинами вместе, но следует ожидать, что со временем это нарушение целостности структуры зуба будет прогрессировать, как это наблюдается при переломах зубов и отломах бугров. Кроме того, лечение корневых каналов, уменьшая или полностью устраняя симптомы, не изменит того факта, что зуб с переломом является ослабленным зубом, который, не прослужит так долго, как зуб без перелома.
Была отмечена необходимость в доказательных методических руководствах. Хотя они еще не доступны, эндодонтисты согласны с тем, что многие зубы с переломами можно лечить, но не ясно, всем ли зубам с переломами нужно эндодонтическое вмешательство. Отсутствие четкого понимания связано с трудностью определения наличия у трещины сообщения с пульпой, и в этом случае эндодонтическое лечение может быть частью общего лечения зуба; в ситуации перелома бугра может не быть сообщения с пульпой, лечения не требуется.
Используя общепринятые критерии диагностики заболеваний пульпы, Krell и Rivera сообщили об исходах симптоматических переломов зубов, у которых изначально был диагностирован обратимый пульпит и которые покрывались полными коронками. Результаты показывают, что если нарушение обнаружено на ранней стадии, а диагноз - обратимый пульпит, установлена коронка, лечение корневых каналов потребуется примерно в 20% случаев.
Один из подходов, который может помочь в принятии решения о необходимости эндодонтического лечения зуба с трещиной коронки, - это метод, которому следуют некоторые клиницисты. Если предварительный диагноз - обратимый пульпит, зуб можно стабилизировать с помощью ортодонтического кольца примерно на 2 недели (Рисунок 19). Если первоначальный диагноз - обратимый пульпит (основанный на отсутствии продолжительной боли от холода и отсутствии спонтанной сильной боли), 2-недельного периода ожидания хватит для полноценной диагностики. Если симптомы исчезли после установки ортодонтического кольца, пациенту может быть предложен вариант установки только реставрации, которая покрывает зуб, например, полной коронки, с пониманием того, что в дальнейшем зубу может потребоваться лечение корневых каналов. Причина, по которой после наложения ортодонтического кольца нужно подождать некоторое время, заключается в том, что до исчезновения чувствительности к холоду проходит некоторое время. Например, Davis и Overton обнаружили, что после восстановления зубов с помощью реставраций из амальгамы потребовалось 2 недели для уменьшения чувствительности к холоду.



Рисунок 19 Диагностическое бандажирование зуба с трещиной коронки. A. Рентгенограмма первого моляра нижней челюсти с симптоматической трещиной коронки на дистальной стороне зуба. Поскольку линия перелома находится в мезио-дистальной ориентации, на снимке она не видна. Б. При диагностике (на основании симптомов и клинических данных) обратимого пульпита на зуб цементируют кольцо. C. Фотография сделана через 2 недели, когда пациент сообщает о полном отсутствии симптомов. Теперь пациенту может быть предложен вариант коронки с полным покрытием с информированием о том, что около 20% таких зубов могут потребовать эндодонтического лечения позже; некоторые пациенты могут предпочесть профилактическое лечение корневых каналов перед установкой коронки.
Когда перелом зуба вызывает необратимый пульпит или некроз пульпы, необходимость в лечении корневых каналов очевидна, если зубы можно сохранить. Лечение корневых каналов устранит боль в пульпе и чувствительность к перепадам температуры и сладкому; однако не следует ожидать, что все сломанные зубы перестанут реагировать на жевание после эндодонтического лечения. Боль при жевании связана с воспалением в периодонтальной связке. Такое воспаление вызывается бактериями в трещинах, которые распространяются от коронковой области апикально. Проблема невозможности предсказать, исчезнет ли боль при жевании после эндодонтического лечения, снова может быть решена с помощью ортодонтического кольца и наблюдением за реакцией на временное восстановление целостности зуба, затем следует проводить лечение. Если пациенту комфортно, лечение можно закончить; в противном случае альтернативным лечением становится удаление.
Лечение, предназначенное для скрепления фрагментов зуба, включает использование адгезивов, амальгамы с ретенцией с обеих сторон дефекта, коронок с полным покрытием и композитных накладок на бондинг. Эксперименты с лазерами (CO2, Nd: YAG) пока не дали многообещающих результатов.
Прогноз
О результатах лечения зубов с дефектами сообщается не так часто. Cameron сообщил об успехе в 75% через 10 лет после установки коронок, а Guthrie и Di Fiore обнаружили, что 24 из 25 зубов, восстановленных с помощью акриловых коронок, не имели симптомов через 1 год. Brynjulfsen и соавт. достигли облегчения боли у 90% своих пациентов после установки реставраций на зубы с трещинами (при наличии показаний было проведено эндодонтическое лечение), а Tan и соавт. имели 85% выживаемость зубов через 2 года после установки коронок. Имеющихся данных недостаточно для использования в качестве основы для определения шансов отдельных пациентов на выживаемость зубов в течение определенного количества лет. Пациенты должны быть полностью проинформированы о неопределенности, связанной с отсутствием данных. Можно признать, что в определенных ситуациях прогноз неблагоприятный: конечные зубы, зубы с поражением пародонта из-за трещин, и зубы с множественными трещинами. Рекомендации по лечению и информированное согласие, основанные на лучших доказательствах, предполагают, что клиницисты ищут то, что доступно в литературе, учитывают собственный опыт врача и выясняют предпочтения пациента.
Профилактика
Был сделан ряд предложений по снижению частоты переломов зубов. Это включает дизайн и размер полости, надлежащий дизайн внутрикоронковых литых реставраций, исключение использования расклинивающих и фрикционных штифтов, предотвращение чрезмерного использования алмазных боров и вибрирующих высокоскоростных наконечников, и восстановление зубов по окклюзии, чтобы избежать устранения преждевременных контактов. Также может быть полезно сообщить пациентам о потенциальном повреждении из-за вредных привычек (грызть трубочки, карандаши, ногти) и чрезмерного напряжения жевательной мускулатуры.
Yeh ввел термин «усталостный перелом корня», чтобы описать результат курсовой диеты в течение длительного периода времени в группе китайских пациентов. У многих из них появлялись вертикальны переломы в зубах, которые до этого не реставрировались и не подвергались эндодонтическому лечению. Сила прикуса на первых молярах составляет до 90 кг, и в случае внезапной внешней травмы, например, неожиданного укуса чего-то твердого в пище, может возникнуть трещина. Kahler и соавт. описали, как трещина может возникнуть из-за «циклической усталости» и повторяющихся окклюзионных нагрузок. Как и все части тела, зубы могут разрушаться.
Что касается ухода за зубами, иногда возникает вопрос: вредно ли жевать лед? Стоматологическая литература не очень информативна по этой теме. Brown и соавт. использовали термоциклирование, попеременное воздействие очень холодных и очень горячих раздражителей на удаленные зубы, и сообщили о появлении обширных трещин в зубах. Неясно, может ли эта информация стать ответом на вопрос о жевании льда, но до тех пор, пока не станет доступно больше информации, лучше не жевать лед.
Заключение
Встречаемость трещин коронок зубов не представляет серьезной проблемы в стоматологии, но их диагностика может быть затруднена, если симптомы и клинические данные не определены. Трещины - это неполные переломы, чаще всего возникающие в коронках, и, если их не лечить, приводят к отлому бугров или расколу зубов. Переломы бугров обычно не сообщаются с пульпой и такие зубы могут не нуждаться в эндодонтическом лечении. Однако трещины могут распространяться от пульпы к эмалево-дентинной и дентин-цементным границам. В таких случаях пульпа обычно необратимо поражаются, что требует эндодонтического лечения. Восстановительное лечение включает в себя манипуляции, направленные на связывание повреждённого зуба; это может быть достигнуто с помощью реставраций из амальгамы с ретенцией с обеих сторон дефекта, амальгамы в сочетании с адгезивами, полных коронок и адгезивных композитных реставраций. Амальгамы встречается реже.
Отсутствуют адекватные данные для определения прогноза для зубов с симптоматическими дефектами; сообщается, что, когда такие зубы лечились реставрацией, либо в сочетании с эндодонтическим лечением, они сохраняли свою жизнеспособность в течение многих лет. Пациенты должны быть проинформированы о том, что длительная ретенция сомнительна. Однако, несмотря на неблагоприятный долгосрочный исход, сохранение зуба с трещиной коронки может быть отличным вариантом для многих пациентов.