Образовательная платформа для врачей-стоматологов

Скидка 10% на все практические курсы. Скидки до 25% на видеолекции и статьи.

Бесплатных просмотров

0

Для доступа к статьям без ограничений оформите подписку

  • Более 2200 статей
  • 3 новых статьи в неделю
  • Без автопродления

Оформить подписку

«Техника тефлоновой ленты»

Paul Leonard Schuh
ортопедия

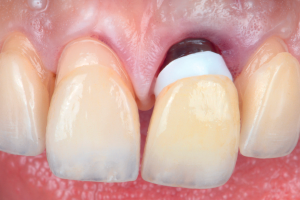
Цель этой статьи - представить и проиллюстрировать «технику тефлоновой ленты», которая обеспечивает простоту использования в сочетании с отличной изоляцией рабочего поля. Она предназначена в качестве дополнения к золотому стандарту использования системы раббердам для практикующего стоматолога. В первую очередь, техника тефлоновой ленты (тефлон является зарегистрированным товарным знаком, не связанным с тефлоновой лентой) особенно подходит для адгезивной фиксации реставраций с очень тонкими краями. Обеспечивается свободный доступ к поддесневым зонам с возможностью ретракции десны. Кроме того, этот принцип может также применяться по другим показаниям, таким как восстановление класса V или глубокое восстановление на штифте. Описанная методика является гибкой и простой в использовании. Эта комбинация позволяет быстро интегрировать технику тефлоновой ленты в повседневную практику стоматолога.

Создание гармоничной улыбки с помощью керамических виниров стало хорошо зарекомендовавшей себя альтернативой лечения в области эстетической стоматологии. Хорошо составленный план подготовки и лечения в сочетании с высококвалифицированным зубным техником - обязательное условие для достижения функциональных и высокоэстетичных результатов. Таким образом, тесное взаимодействие между стоматологом и зубным техником имеет первостепенное значение для достижения успешных результатов, отвечающих ожиданиям пациентов.

Разрабатываются и внедряются различные методы уменьшения толщины виниров, чтобы минимизировать потерю тканей зуба во время препарирования. В настоящее время основная задача состоит в том, чтобы работать минимально инвазивно. Чтобы сохранить как можно больше естественной структуры зуба применяются виниры без препарирования, с адгезивной связующей поверхностью между зубом и виниром, расположенной на поверхности эмали. Следующие методы обеспечивают наименее инвазивную подготовку зубов: отбеливание зубов, мокап с последующим препарированием, или цифровой дизайн улыбки в сочетании с препарированием.

Преимущество метода без препарирования заключается в сочетании максимального сохранения естественной структуры зуба, эстетичный внешний вид, и наличие склеивающей поверхности, ограниченной эмалью. Толщина винира может быть уменьшена до 0,3 мм, что может привести к проблемам с адгезией. Давление во время ручной фиксации должно быть минимальным, особенно в областях с очень тонкими краями, поскольку существует повышенный риск трещины. Поломка клампов для раббердма - еще один риск, поскольку они могут спровоцировать сколы тонких краев винира в апикальной области.

2824 просмотра

В избранное

Поделиться в соцсетях

Вход / Регистрация

Введите номер телефона, мы отправим вам СМС с кодом подтверждения

Номера телефонов могут начинаться только
на +7 (Россия) или +375 (Беларусь)