Трещины и переломы корня являются двумя из наиболее неприятных моментов в эндодонтии и реставрационной стоматологии. Диагностика может быть затруднена; симптомы могут быть неясными, специфичными и часто недостаточными для окончательного диагноза; рентгенологические признаки также малозаметны. Лечение трещин или переломов зависит от их протяженности. Предупреждение потенциальных трещин и переломов это основополагающий принцип, и крайне важно при этом их раннее обнаружение.
Незаметная травма
Переломы зубов обычно являются следствием травмы. ДТП, падение с велосипеда или случайный удар по лицу - вот наиболее частые причины. Такой тип травматических переломов обычно происходит во фронтальном отделе. Трещины и переломы, которые описаны в этом контексте, напротив, обычно не связаны с каким-либо травматическим эпизодом из жизни пациента. Они часто являются результатом хронической, незаметной для пациента окклюзионной травмы из-за чрезмерной нагрузки.
Сложности диагностики
В данном контексте мы обсуждаем три категории трещин и переломов: трещины и переломы бугров, продольные трещины или переломы, и вертикальные переломы корня. Многие из них часто остаются не выявленными или перепутанными с другим диагнозом в течение долгого времени. Внимательный клиницист после проведения соответствующих диагностических тестов и клинической оценки обычно может диагностировать пульпит, апикальный периодонтит или абсцесс. Однако широкое разнообразие клинических проявлений со стороны трещин и переломов не делает их диагностику проще. Еще больше осложняет ситуацию то, что ни одна из трех категорий не проявляется рентгенологически на ранних стадиях, лишая стоматолога одного из наиболее объективных диагностических тестов.
Симптоматика любого из этих состояний может присутствовать в течение нескольких месяцев до постановки точного диагноза, что может быть крайне неприятно как для пациента, так и для стоматолога и часто может стать причиной потери доверия к врачу.
Окончательный диагноз обычно ставится на относительно поздней стадии, часто уже после развития осложнений, таких как полный перелом зуба или бугра или значительная потеря костной ткани в связи с вертикальным переломом корня, что будет заметно на рентгенограмме. Набор симптомов и признаков, связанных с каждой из трех категорий трещин и переломов может сбивать с толку стоматолога, если он не будет рассматривать их как проявления длительного процесса в данный момент времени.
Механика перелома
Механика перелома - это область биомеханики, связанная с распространением трещин в определенном материале до полного скола. В стоматологической литературе, описываемые в данном контексте явления, обозначаются большим количеством терминов. Здесь термин трещина будет использоваться в биомеханическом смысле: частичный разрыв материала, способный распространяться и в итоге привести к полному отрыву, известному как перелом. В этом контексте трещина бугра будет обозначать состояние, приводящее со временем к его перелому. Продольная трещина зуба в конечном итоге приведет к его расколу на две половины («расщепленный зуб»). Точно так же микротрещины в корневом дентине депульпированного зуба могут распространяться со временем и в итоге привести к вертикальному перелому корня, когда целостность стенки корня нарушается на всю толщину. Перелом может быть неполным, когда вовлечена только одна стенка, и полным, когда корень разделяется на два фрагмента (рис 21-1)

Рис. 21-1 Полный вертикальный перелом корня. Поперечный срез медиального корня нижнего моляра с полным вертикальным переломом корня. Плоскость перелома располагается щечно-язычно и проходит от щечной выпуклости корня до язычной.
Трещины и переломы бугров
Определение
Трещина проходит между бугром и всем остальным зубом и может сопровождаться микроскопическим смещением бугра под жевательной нагрузкой. Такая трещина, как правило, не приводит к вовлечению пульпы. Со временем она может распространяться и приводить к отлому бугра.
Диагностика
Анамнез
При трещине бугра анамнез пациента является основным фактором при постановке диагноза. Пациент обычно жалуется на боль при жевании вплоть до невозможности накусить на причинный зуб. Также он отмечает, что болевые ощущения беспокоят давно, а стоматологи на предыдущих консультациях не могли найти причину и не находили никакой патологии на рентгенограммах. На вопрос острая боль или тупая, пациент обычно говорит, что острая настолько, что больше накусывать на эту сторону не хочется. Сложность диагностики заключается в выявлении причинного бугра и причинного зуба, поскольку пациенты обычно затрудняются точно определить локализацию боли. Боль возникает в пульпе и проприоцепторное восприятие будет неточным, так как периодонтальная связка не вовлечена. Иногда боль при жевании может иррадиировать в различные зоны на той же стороне лица
Клинические проявления
Ранние проявления
Типичным признаком наличия трещины бугра будет боль во время жевания, при том, что перкуссия причинного зуба отрицательная или слабо положительная. Зуб витален, холодовая проба в норме; но со временем могут появиться пульпитные боли, локализованные или отдающие в другие зубы и прочие области лица.
Трещины бугров часто связаны с объемными реставрациями, которые ослабляют бугры и предрасполагают к появлению трещин под воздействием жевательной нагрузки. Тем не менее, трещины могут появляться и в интактных зубах, и в зубах с небольшими реставрациями.
Поздние проявления
Со временем трещина может распространяться и приводить к перелому бугра. Если линия перелома проходит в пределах клинической коронки, отколотый фрагмент просто отделяется от зуба. Если же линия перелома уходит в поддесневое пространство, фрагмент будет удерживаться периодонтальной связкой. На ранней стадии можно отодвинуть отломанный бугор острым зондом для лучшей визуализации. Часто, при продолжительном жевании и травмировании отломком периодонтальной связки может появляться более острая и локализованная боль. Пульпитная боль, характерная для ранней стадии (трещины бугра) обычно пропадает, как только произошел отлом фрагмента.
Диагностика
Трещина бугра может быть диагностирована в большей степени на основе анамнеза. Для определения поврежденного зуба следует провести накусочный тест с помощью Tooth Slooth (Professional Results, Laguna Niguel, CA) или чего-то похожего (рис. 21-2). Устройство представляет собой с одной стороны пирамиду с уплощенной верхушкой, которая располагается на проверяемом бугре, другая широкая сторона лежит на антагонистах во время смыкания зубов (см. рис. 21-2). При расположении устройства на причинном бугре, пациент ощущает острую боль во время смыкания либо при уменьшении сжатия зубов (при разжимании). Как правило, пациент подтверждает, что это именно та боль, на которую он жалуется при жевании.

РИС. 21-2 Устройство Tooth Slooth (А). Проведение накусочного теста: верхушка пирамиды располагается на проверяемом бугре, широкое основание - на антагонистах.
При поиске трещины хорошим подспорьем может стать увеличение изображения с помощью бинокулярных луп или микроскопа. Также, если зуб не имеет крупных реставраций, трансиллюминация поможет выявить трещину. Если зуб восстановлен объемной пломбой, ее удаление поможет использовать этот диагностический прием (Рис. 21-3). Пучок света должен быть ярким, но узким (Рис. 21-4); светят в зуб со стороны предполагаемой трещины при выключенном свете в кабинете, на установке и микроскопе. Свет проходит через ткани зуба до трещины, оставляя участок за ней относительно затемненным (см. рис. 21-3). При наличии крупных реставраций такой тип исследования будет менее эффективен.

РИС. 21-3 Просвечивание при диагностике трещины бугра (зуба). Яркий и узкий пучок света направляется на проверяемый зуб, предпочтительно в темноте. Свет проходит через ткани зуба, но отражается от плоскости трещины, оставляя область после трещины затемненной.

РИС. 21-4 Источник света для трансиллюминации. Источник света должен быть ярким, но небольшим, например как беспроводное устройство от Yeti Dental (Engen, Germany).
При распространении трещины происходит перелом бугра, диагноз становится более очевидным: сломанный бугор либо теряется, либо подвижен при покачивании его с помощью зонда (рис.21-5).

РИС. 21-5 Перелом бугра. А) Медиально-небный бугор верхнего правого шестого зуба отломался. Бугор подвижен и удерживается периодонтальной связкой. В) После удаления бугра зуб сочли пригодным к реставрации. После эндодонтического лечения его покрыли искусственной коронкой.
Этиология
Крупные реставрации могут быть предрасполагающим фактором к трещинам и переломам бугров. Во всем остальном этиология схожа с таковой для продольных трещин зубов.
Планирование лечения
Трещина бугра
Лечение будет состоять в защите треснутого бугра от окклюзионной нагрузки, одновременно устраняя боль при жевании и дальнейшее распространение трещины вплоть до перелома. Рекомендуется покрытие зуба полной коронкой или накладкой, хотя адгезивная композитная реставрация также может использоваться в такой ситуации. Необходимо помнить, что незащищенный бугор с трещиной может отломаться в любой момент. И если плоскость перелома будет уходить глубоко под десну, такой зуб, возможно, не будет подлежать восстановлению. Эндодонтическое лечение проводится только при наличии соответствующей симптоматики, или если после удаления отломанного бугра и старой реставрации оставшаяся часть зуба не обладает должной ретенцией - по ортопедическим показаниям. При выборе соответствующего плана лечения зуб необходимо как можно скорее вывести из окклюзии. Пациента следует предупредить не накусывать на эту сторону твердую пищу до тех пор, пока зуб не будет покрыт коронкой.
Перелом бугра
Восстановление перелома бугра зависит от объема сохранившихся тканей. Если скололся небольшой участок, показана традиционная адгезивная композитная реставрация для покрытия обнаженного дентина. При отколе более крупного фрагмента может понадобиться покрытие зуба полной коронкой или накладкой.
В некоторых случаях, при обнаружении трещин в интактных зубах или зубах с незначительными реставрациями бывает сложно определить, в каком направлении распространяется трещина. В таких случаях пациент должен быть осведомлен о возможном ухудшении прогноза для зуба, о чем говорится далее.
Продольная трещина (перелом) зуба
Определение
Продольная трещина частично разделяет коронку зуба на две части. При ее распространении зуб раскалывается на два фрагмента.
Диагностика
Анамнез пациента
В случае с продольной трещиной анамнез пациента может походить на таковой при трещине бугра - а именно, острая боль при жевании и неспособность предыдущих стоматологов выявить ее источник. Так же, как и при трещине бугра, диагноз ставится часто только на основании жалоб пациента. Часто врачу довольно сложно обнаружить причинный зуб. С течением времени пациент может сообщить о наличии острой боли ранее, а теперь о высокой чувствительности к холодовым раздражителям; на поздней стадии пациент может говорить о затихании боли. Такие жалобы будут согласовываться с воспалением пульпы, а затем и с ее некрозом, которые развиваются со временем в пораженном зубе.
Клинические признаки
Ранние признаки
Продольные трещины могут возникать как в зубах с крупными реставрациями, так и с небольшими, и в интактных зубах. Трещина начинается в области клинической коронки и может распространяться в апикальном направлении. Такие трещины обычно пролегают в мезиодистальном направлении, разделяя зуб на щечную и язычную части. На ранних стадиях зуб может оставаться витальным и болезненным при жевании. Боль может быть довольно острой, вплоть до невозможности накусить на больную сторону. Такое состояние может сохраняться в течение довольно долгого времени. Боль может быть локализованной или отдавать в другие зубы, верхние или нижние, на той же стороне. Рентгенографические проявления на этом этапе отсутствуют, так как трещина не видна невооруженным взглядом и лежит в плоскости, перпендикулярной потоку рентгеновского излучения. Перкуссия может быть и положительной, и отрицательной, реакция на холод может быть или нормальной, или положительной.
Поздние проявления
Поздними проявлениями могут быть пульпит, потеря жизнеспособности пульпы или дальнейшее распространение трещины с продольным переломом в итоге. В одном исследовании были изучены девитальные моляр и премоляр с минимальными реставрациями или без таковых. После удаления эти зубы были исследованы под хирургическим микроскопом или с помощью компьютерной томографии. В обоих зубах была обнаружена продольная трещина, проходящая через пульпарную камеру. Хотя данное исследование включает небольшое количество примеров, необходимо понимать, что продольная трещина может определять неблагоприятный прогноз для сохранения зуба, особенно если она явилась причиной некроза пульпы.
Изменения в пульпе чаще возникают в случаях центрально расположенной трещины (от одного маргинального гребня до другого через центральную ямку), чем когда трещина проходит более щечно или язычно. Такие центрально проходящие трещины обычно достигают пульпарной камеры на поздней стадии. В результате, пульпа воспаляется, а после некротизируется вследствие проникновения инфекции через трещину. Острая боль при жевании, типичная для ранней стадии, пропадает при потере жизнеспособности пульпы. Последним проявлением нелеченой продольной трещины на первый взгляд интактного моляра становится апикальный периодонтит. При некрозе пульпы на рентгенограмме появляются признаки апикальной рентгенпрозрачности, неотличимой от таковой при апикальном периодонтите (Рис. 21-6)

РИС, 21-6 Случай некроза пульпы вследствие трещины. Интактный зуб или зуб с минимальными реставрациями не должен быть девитальным. А) Данная рентгенограмма нижнего седьмого зуба с реставрацией на значительном расстоянии от пульпарной камеры; тем не менее, зуб не витален и симптоматичен. В) При исследовании жевательной поверхности обнаружена небольшая трещина на дистальном маргинальном гребне. С) После удаления зуба на мезиальной поверхности коронки и корня нет признаков трещины. D) На дистальной поверхности трещина распространяется на коронку и верхнюю часть корня. E,F) На разрезе хорошо видно, что трещина достигает пульпарной камеры.
Трещина со временем может распространяться через пульпарную камеру к корню, приводя в итоге к полному разделению зуба на две части - к продольному перелому зуба. При этом обе эти части можно подвигать, вставив между ними зонд. Со временем амплитуда подвижности фрагментов возрастает. Рентгенологическая картина при этой поздней стадии может представлять собой очаг просветления вокруг корня. Могут также быть обнаружены узкие ограниченные глубокие периодонтальные карманы. Карманы эти, однако, расположены чаще всего дистально и медиально, и при наличии соседних зубов обнаружить их тяжело, если вообще возможно.
Продольные трещины и переломы зубов сопровождаются широким разнообразием признаков и симптомов, которые запросто могут сбить с толку. Только проследив весь процесс развития проблемы от ранних проявлений к поздним, врач сможет верно интерпретировать все симптомы и определить момент, когда они впервые появились.
Определенное сочетание факторов, признаков и симптомов, при общем рассмотрении которых, врач делает заключение о наличии особого патологического состояния, называется синдромом. Тем не менее, учитывая множество признаков и симптомов, которыми может сопровождаться перелом корня, часто бывает сложно поставить объективно окончательный диагноз. По этой причине следует избегать термина «синдром продольной трещины зуба».
Диагностика
Как и в случае трещины бугра, при продольной трещине высокую значимость имеет ранняя диагностика, как для устранения симптоматики пациента, так и для благоприятного долгосрочного прогноза. Использование устройства Tooth Slooth не всегда дает точный результат при центральном расположении трещины, поскольку оба фрагмента зуба могут быть относительно стабильны. Можно воспроизвести болевые ощущения, попросив пациента закусить ватный тампон, расположенный в определенном участке. Такой метод, однако, не даст ответа, верхний зуб болит или нижний, и потребует более тщательного исследования. Увеличение изображения с помощью бинокуляров или микроскопа может помочь в обнаружении линии перелома. Кроме того для визуализации трещины можно использовать красители (метиленовый синий или настойка йода), нанося их либо на поверхность эмали, либо на дентин после удаления старых реставраций (см. рис. 21-3). Метод просвечивания также можно использовать при условии отсутствия реставраций с довольно высокой точностью определения диагноза. Для определения верхний или нижний зуб является причинным, можно сделать выборочно анестезию и снова попросить пациента прикусить ватный тампон. На поздней стадии, когда зуб раскололся полностью, введение зонда в линию перелома не должно оставить сомнений в постановке диагноза.
Вообще - то диагностика трещины зуба довольно сложна. При наличии симптомов и признаков пульпита или некроза пульпы крайне важно выявить причину их возникновения. Если у зуба нет объективных причин для возникновения патологических состояний в пульпе - ни крупных реставраций, ни кариеса, ни травмы, тогда следует заподозрить трещину или перелом. Иногда точный диагноз поставить невозможно; тем не менее, при потенциальном риске наличия трещины или перелома и, как следствие, ухудшения прогноза для зуба, пациент обязательно должен быть об этом уведомлен.
Этиология
Причиной продольных трещин являются жевательные нагрузки. Сопутствующим фактором может быть злоупотребление жесткой пищей. Бруксизм, частое сильное сжимание челюстей, преждевременные окклюзионные контакты также являются частой причиной появления продольных трещин. По этой причине некоторые зубы, такие как верхние премоляры или нижние вторые моляры более предрасположены к образованию трещин. Среди прочих факторов - привычка жевать лед. Предложенный Yeh термин «усталостный перелом корня зуба» охватывает все эти причины.
В определенных случаях перелом или трещина зуба может возникать в результате травматического воздействия, такого как, например сильный удар снизу вверх по нижней челюсти (во время ДТП или занятий спортом). Другой возможной причиной может быть неожиданное накусывание какого-либо твердого предмета (например, вишневая косточка или нераскрывшееся зернышко попкорна). Жевательная нагрузка на первых молярах эквивалентна 90 кг, и будучи непреднамеренно примененной в полную силу, способна повредить структуру зуба. Тем не менее, в большинстве случаев трещина возникает без явной видимой причины, только в результате жевательных нагрузок, нормальных или избыточных.
Планирование лечения
Продольная трещина зуба
При подозрении или диагностировании продольной трещины пациента следует информировать о возможно сомнительном прогнозе сохранения зуба. Основными задачами лечения трещины являются профилактика ее распространения и устранение дискомфорта в процессе жевания. И того, и другого можно достигнуть, надев на зуб ортодонтическое кольцо или изготовив временную коронку. Таким образом, можно проверить реакцию пульпы на вмешательство и оценить необходимость эндодонтического вмешательства.
Защита зуба от раскалывания покрытием его временной коронкой крайне важна в таких случаях. К сожалению одно лишь изготовление коронки не всегда снимает симптоматику со стороны пульпы, и если это так, то перед тем, как изготовить постоянную коронку, приходится проводить эндодонтическое вмешательство.
Депульпирование с последующим покрытием зуба постоянной коронкой, безусловно, сразу же избавляет пациента от продолжительных болевых ощущений и защищает от жевательных нагрузок, способных привести к распространению трещины и продольному перелому. Тем не менее, при покрытии 127 зубов с трещиной и обратимым пульпитом коронками без предварительного депульпирования, 20% из них в течение 6 месяцев дали обострение и потребовали лечения каналов. Из 80% остальных зубов, напротив, ни один не потребовал эндодонтического вмешательства за 6-летний период. Кроме того нужно понимать, что определенная доля зубов, с трещиной или без, может потребовать эндодонтического лечения по причине травмы в процессе препарирования. Для сравнения, при восстановлении зубов с подозрением на продольную трещину адгезивными реставрациями только 7% подлежали последующему эндодонтическому лечению или удалению.
После удаления старой реставрации или обнажения дентина при создании эндодонтического доступа можно наблюдать дисколорацию вдоль трещины. После того как доступ к каналам сформирован, необходимо тщательно исследовать дно и проксимальные стенки пульпарной камеры на предмет наличия продолжения трещины. При исследовании 245 восстановленных зубов трещины были обнаружены в 23,3% до вмешательства; однако после удаления реставраций трещины обнаружились в 60% зубов. Краситель метиленовый синий может помочь обнаружить трещину. При обнаружении трещины от медиальной стенки через дно пульпарной камеры до дистальной стенки прогноз зуба неблагоприятный и следует делать выбор в пользу его удаления (см. рис. 21-6). Если трещина не достигает пульпарной камеры или затрагивает проксимальные стенки только в пределах коронковой части, то последующее покрытие искусственной коронкой может спасти зуб. Тем не менее, как уже упоминалось, следует информировать пациента о возможных осложнениях и необходимости долгосрочного наблюдения.
Допуская, что продольные трещины могут возникать в зубах с минимальными реставрациями или вообще без таковых и что при депульпировании сразу же пропадает вся симптоматика, может возникнуть соблазн закончить лечение обычной амальгамовой или композитной реставрацией. Следует сопротивляться такому соблазну всеми способами, поскольку нагрузки, вызвавшие появление трещины никуда не исчезли, и риск ее апикального распространения и потери зуба все еще присутствует.
Продольный перелом зуба
При возникновении продольного вертикального или диагонального перелома (Рис. 21-7) как правило, единственный выход - это экстракция. Однако, если в результате перелома зуб раскололся на меньшую и большую части, и, после удаления меньшей, на оставшейся части сохранен достаточный объем для реставрации, можно сделать выбор в пользу ее сохранения.

РИС. 21-7 Диагональный перелом зуба. Правый верхний второй премоляр с мезиодистальным переломом коронковой части. А,В) На двух горизонтальных срезах КЛКТ виден мезиодистальный перелом с сопутствующей потерей костной ткани в апроксимальных участках. Ближе к коронке деструкция кости наблюдается щечно и мезиально (А). Более апикально потеря костной ткани присутствует медиально, щечно и дистально (В). С,D) На трехмерном изображении отчетливо видна конфигурация перелома, которая свидетельствует о невозможности сохранения зуба. Объем деструкции костной ткани и широкий просвет линии перелома свидетельствуют о длительности поражения, при которой резорбция кости привела к расхождению фрагментов, заметному на КЛКТ. Не похоже, чтобы такая выраженность линии перелома могла присутствовать на ранней стадии его формирования.
Вертикальный перелом корня (ВПК)
Определение
Вертикальным переломом корня называют полный или неполный продольно ориентированный перелом, берущий свое начало в любой области корня, обычно в щечно-язычном направлении (рис. 21-1 и с 21-8 по 21-11). По определению, данный тип перелома не является следствием распространения перелома, берущего свое начало в коронковой части. Таким образом, ВПК это не продольный перелом зуба, который начинается с трещины в коронковой части, затем распространяющейся в апикальном направлении. Хотя и тот и другой тип перелома обычно приводят к потере зуба, их следует четко различать, так как причины, источники и типичное расположение плоскостей переломов существенно разные.

РИС. 21-8 Диагональный вертикальный перелом корня моляра. Язычная проекция зуба 4.6 с диагональным вертикальным переломом медиального корня.

РИС. 21-9 Три типа вертикального перелома корня. А) ВПК в пределах коронковой трети корня. В) ВПК в пределах средней трети корня. С) Апикально расположенный вертикальный перелом, распространяющийся коронально в пределах двух третях корня.

РИС. 21-10 Рентгенограмма, показывающая потерю костной ткани в связи с вертикальным переломом корня. Зуб 4.5 был лечен эндодонтически и восстановлен с использованием короткого штифта. Через два года пациент начал отмечать дискомфорт и чувствительность во время жевания. Изначально никаких рентгенографических признаков обнаружено не было. Так продолжалось в течение 9 месяцев, по истечении которых на рентгенограмме (А) была обнаружена обширная резорбция кости, и зуб был удален. А) Обширный очаг просветления костной ткани вдоль дистальной поверхности корня. В) Зуб удален, но щечный ВПК не очевиден. С) Просвечивание ярким узким пучком света отчетливо демонстрирует ВПК.

РИС. 21-11 Деструкция костной ткани в связи с вертикальным переломом корня на прицельной рентгенограмме. Зуб 4.5 после эндодонтического лечения был восстановлен без штифтовой конструкции. Через год пациент начал жаловаться на чувствительность с язычной стороны. Через три месяца сделали рентгеновский снимок (А) и удалили зуб. Вдоль дистальной поверхности корня обнаружился небольшой участок просветления костной ткани. Зуб был удален, но при визуальном осмотре явного перелома корня не выявилось (В). Просвечивание корня удаленного зуба интенсивным, но узким пучком света позволило четко визуализировать вертикальный перелом корня (С,D).
Диагностика
Анамнез пациента
При вертикальном переломе корня пациент может жаловаться на боль или чувствительность в определенном зубе, или около него. Чувствительность и дискомфорт во время жевания являются наиболее распространенными жалобами. Периодически может появляться отек в области поражения. Часто пациент указывает на невозможность установления причины боли и дискомфорта в течение долгого времени, несмотря на неоднократные клинические и рентгенологические обследования. Когда после повторного перелечивания каналов симптоматика сохраняется, и стоматолог не может установить ее причины, он может потерять доверие пациента. Часто для постановки точного диагноза пробуют перелечить каналы или проводят апикальную хирургию. К сожалению, такие попытки неэффективного лечения могут только ухудшить взаимоотношения стоматолога с пациентом.
Клинические проявления
Зубы в зоне риска и локализация вертикальных переломов корня
Вертикальные переломы корня обычно случаются в эндодонтически леченых зубах восстановленных со штифтом или без такового. Тем не менее, ВПК можно обнаружить и в зубах без предшествовавшего лечения каналов. Наиболее подвержены риску верхние и нижние премоляры, медиальные корни нижних моляров, щечно-медиальные корни верхних моляров и нижние резцы. Однако иногда ВПК также может произойти в других корнях и зубах.
Вертикальные переломы корня могут образовываться в щечно-язычном направлении в тех зубах или корнях, которые обычно сужены мезиодистально. Однако вертикальные переломы корней могут распространяться и диагонально, вовлекая таким образом медиальную или дистальную поверхности корня (см. рис. 21-8). Вертикальные переломы корня могут возникать на любом его уровне. Они могут начинаться в апикальной части и распространяться коронально (см. рис. 21-9, С). В других случаях перелом может начинаться в коронковой, пришеечной части корня и распространяться апикально (см. рис. 21-9, А), или располагаться в средней части корня (см рис. 21-9, В; 21-10, С; и 21-11, D).
Наиболее вероятным предположением является то, что вертикальные переломы корня начинаются как микротрещины на поверхности дентина корневого канала и постепенно распространяются кнаружи через всю толщу корневого дентина. Другие исследования показали, что микротрещины могут возникать на внешней поверхности корня и распространяться вовнутрь. Таким образом, взаимосвязь микротрещин корневого дентина с вертикальными переломами корня требует дальнейшего изучения.
Ранние проявления
На ранней стадии вертикального перелома корня может появиться боль или дискомфорт с пораженной стороны зуба. В частности, чувствительность и дискомфорт могут появляться при жевании, боль чаще тупая, в противоположность острой боли, типичной при трещине бугра или зуба с живой пульпой. При прогрессировании поражения и сопутствующей инфекции часто возникает отечность и может появиться свищевой ход, локализованный более коронально, чем свищевой ход при хроническом апикальном абсцессе (Рис. 21-12). Все эти признаки затрудняют дифференциальную диагностику с отрицательной динамикой эндодонтического лечения. На ранних стадиях рентгенологические проявления редки, так как (1) пломбировочный материал в корневом канале загораживает трещину (Рис. 21-13, А), и (2) изображение корня накладывается на участок деструкции костной ткани (который все еще имеет небольшие размеры мезио-дистально)

РИС. 21-12 Свищевой ход расположенный коронально. А) Зуб 1.2 со свищевым ходом, локализованным на прикрепленной десне, что не характерно для хронического периапикального абсцесса. Верхние боковые резцы не попадают в зону риска вертикального перелома корня. В) Коронально расположенный свищевой ход от щечного вертикального перелома корня зуба 2.4. С) Свищевой ход в области маргинальной десны от зуба 4.6 с вертикальным переломом корня со щечной поверхности медиального корня.

РИС.21-13 Сравнение рентгенографии запломбированного и пустого каналов. А) Щечно-язычная проекция запломбированного канала с невозможностью обнаружения вертикального перелома корня на ранней стадии. В) Удаление пломбировочного материала из канала и снимки под различными углами могут помочь обнаружить вертикальный перелом корня.

РИС. 21-14 Сравнение рентгенографии очага деструкции кости в связи с вертикальным переломом корня на ранней и на поздней стадиях. На ранней стадии очаг деструкции кости (красный) вряд ли может быть обнаружен на прицельной рентгенограмме, поскольку перекрывается изображением корня (А,В). На более поздней стадии , когда очаг деструкции распространился до кортикальной пластинки (С), и выступает за пределы силуэта корня (С,D) выглядя при этом как участок просветления вдоль корня (D).
У корня может обнаруживаться узкий, глубокий одиночный периодонтальный карман, часто несоответствующий периодонтальному статусу прилежащих областей. Этот особый тип периодонтального дефекта образуется вследствие деструкции костной ткани из-за вертикального перелома корня. Он существенно отличается от карманов, образующихся при осложненном периодонтите (будет обсуждаться далее).
Поздние проявления
Вертикальный перелом корня на поздней стадии диагностировать проще. Его с большей вероятностью будет видно на прицельной рентгенограмме, поскольку объем деструкции альвеолярной кости прилежащей к корню уже достаточно велик (см. рис. 21-7). Одним из наиболее характерных признаков является комбинация периапикального и перирадикулярного очагов просветления в форме буквы J или ореола (т. е. деструкция кости апикально и вдоль поверхности корня коронально) (рис. 21-15). Кроме того, карман вдоль перелома, изначально узкий и тесный, может стать шире и проще для обнаружения. При долгосрочном течении процесса с интенсивной деструкцией кости фрагменты корня могут отделяться, давая на рентгенограмме четкую картину перелома корня (рис. 21-16).

РИС 21-15 Рентгенограммы вертикального перелома корня на поздних стадиях. А) Ореол в форме буквы J в связи с ВПК зуба 4.5. В) Объемная деструкция кости связанная с полным вертикальным переломом зуба 1.5. С) Ограниченная деструкция кости в связи с вертикальным переломом средней трети корня зуба 2.5. D) Дефект костной ткани в связи с ВПК медиального корня зуба 3.6. Все представленные случаи характерны для вертикального перелома корня в поздней стадии.

РИС. 21-16 Рентгенограммы вертикальных переломов корня на поздней стадии. Для диагностирования таких случаев не требуется особых диагностических навыков.
Диагностика
Важность ранней диагностики
Точный и своевременный диагноз крайне важен при вертикальных переломах корня, так как он позволит удалить зуб до того, как произойдет обширная деструкция костной ткани. Ранняя диагностика особенно важна, если в дальнейшем восстановление дефекта планируется проводить с помощью имплантации; когда причинный зуб удален на ранней стадии, риск возникновения осложнений при имплантации маловероятен. Когда зуб удален уже после значительной деструкции окружающей кости (см. рис. 21-14), могут потребоваться костнопластические операции, увеличивающие стоимость и сроки реабилитации.
Американская Ассоциация Эндодонтистов в 2008 году установила, что наличие свищевого хода и узкий изолированный периодонтальный карман возле зуба, который был лечен эндодонтически, с установкой штифта или без, может свидетельствовать о наличии вертикального перелома корня.
Тем не менее, диагностика на ранней стадии может быть сложна по двум причинам: (1) многие из клинических проявлений вертикального перелома корня соответствуют апикальному или маргинальному периодонтитам, и (2) узкий карман на ранней стадии ВПК сложно обнаружить с помощью жестких зондов. Таким образом, диагноз ВПК часто ставится с запозданием, или неверно проводится дифференциальная диагностика.
Дифференциальная диагностика ВПК
В определенных случаях длительно существующего вертикального перелома корня клиническая картина настолько очевидна, что невозможно ошибиться с диагнозом (см. рис. 21-16). Тем не менее, при ретроспективном анализе клинических случаев было установлено, что стоматологи общей практики часто ставили ошибочный диагноз при ВПК. Зубы в рассмотренных случаях удалялись с диагнозом неудачного эндодонтического лечения или устойчивого маргинального периодонтита, и лишь после экстракции становилось ясно, что в некоторых случаях истинной причиной был вертикальный перелом корня.
Карманы при ВПК
Карманы, характерные для ранней стадии вертикальных переломов корня, существенно отличаются от глубоких карманов при прогрессирующем заболевании периодонта. Глубокие карманы при заболеваниях периодонта являются результатом скопления бактериальной пленки в пришеечных областях зубов, и деструкция происходит в ответ на жизнедеятельность микроорганизмов. Таким образом, глубокие периодонтальные карманы обычно шире в коронковой части и относительно широкие в принципе. Такое строение кармана обеспечивает возможность легкого прохождения жестких зондов (рис. 21-17). Самая глубокая часть таких карманов обычно располагается на апроксимальных поверхностях зуба. Маргинальный периодонтит чаще поражает сразу группу зубов и редко наблюдается изолированно на одном зубе.

РИС. 21-17 Карман при ВПК. А) Карманы при периодонтите (слева) широкие в пришеечной части, в то время как карманы при ВПК (справа) узкие и глубокие. В) Карманы при периодонтите (слева) достаточно свободные для прохождения зонда с разных сторон, а карманы при ВПК (справа) узкие и тесные. Если не проверять тщательно каждый миллиметр десневой борозды, карман при ВПК на ранней стадии легко пропустить. Обратите внимание, что карманы при периодонтите чаще располагаются проксимально, тогда как карманы при ВПК обычно образуются с язычной или щечной поверхности.
Карманы при вертикальных переломах корня образуются с инициированием деструктивного процесса в периодонтальной связке на всем протяжении дефекта в ответ на проникновение инфекции через щель перелома. Инфекция распространяется из корневого канала; однако, когда вертикальный перелом корня продолжается в области обнаженной шейки, микробы могут приходить и из полости рта. На ранних стадиях периодонтальная связка поражается и разрушается вдоль линии перелома с минимальной резорбцией прилежащей кости. Это дает возможность ввести в карман периодонтальный зонд. Карман при вертикальном переломе корня, как правило, одиночный и присутствует лишь в ограниченном участке, прилежащем к пораженному зубу с язычной или щечной поверхности. На ранних стадиях карман уже глубокий, но имеет узкий вход (см. рис. 21-17). Для введения зонда в первую очередь необходимо обнаружить этот вход; часто для введения зонда требуется слегка приложить усилие. Поскольку карман узкий, введение зонда может сопровождаться побелением десны (Рис. 21-18). Обычно это происходит при использовании пластикового зонда, так как основание его рабочей части толще, чем у металлического (рис. 21-18 и 21-19).

РИС 21-18 Узкие карманы при вертикальном переломе корня. А) Вертикальный перелом дистального корня правого второго нижнего моляра. Карманы, характерные для ВПК были обнаружены с язычной (В) и щечной (С) сторон. Ввиду тесноты карманов введение в них зонда вызывает побеление окружающих тканей.

РИС 21-19 Сравнение жесткого и гибкого зондов. А) В широком кармане при маргинальном периодонтите жесткий металлический зонд легко проходит на всю глубину. В) В узкий карман при вертикальном переломе корня на ранней стадии ввести жесткий зонд может быть затруднительно, так как этому препятствует выпуклость коронки зуба. С) Гибкий зонд (D) больше подходит для исследования карманов при вертикальном переломе корня на ранней стадии.
Карман при вертикальных переломах корня на ранней стадии отличается от прочих периодонтальных карманов. Различия эти хорошо изучены, что подтверждается применением таких терминов, как «костный дефект» и «зондируемый дефект». Тем не менее, все эти карманы имеют общие специфические черты, что позволяет ввести термин «карман при ВПК».
Жесткий металлический зонд не всегда может быть эффективным при исследовании карманов при вертикальном переломе корня на ранней стадии. При условии, что карман узкий, тесный и глубокий, введение зонда может ограничиваться выпуклостью коронки (см. рис 21-19). В таких случаях следует использовать гибкий зонд, например зонд от Premier Dental Products (Plymouth Meeting, Pennsylvania) (см. рис. 21-19) или похожий. Такой гибкий зонд должен быть в каждом наборе для эндодонтического исследования, он незаменим при поиске возможных карманов при вертикальном переломе корня.
Tamse и соавторы обнаружили характерный карман в 67% случаев вертикального перелома корня. Однако, учитывая, что обнаружение карманов при вертикальном переломе корня требует определенных навыков и что в вышеупомянутом исследовании использовались металлические зонды, в действительности частота встречаемости карманов может быть еще выше. При обнаружении характерного кармана на щечной или язычной поверхности корня, скорее всего, что зуб имеет вертикальный прелом корня. Если же такой карман обнаружен в области фуркации моляра, он может оказаться как карманом при ВПК, так и свищевым ходом, образовавшимся в результате периапикального абсцесса. В таком случае поставить верный диагноз можно при наличии или отсутствии положительной динамики в ответ на эндодонтическое лечение.
Коронально расположенный свищевой ход
Свищевой ход при хроническом апикальном абсцессе обычно обнаруживается на расстоянии наименьшего костного сопротивления, в проекции верхушки корня или в области перехода прикрепленной десны в слизистую оболочку полости рта. Свищевые ходы при вертикальных переломах корня располагаются, как правило, более коронально, так как их источником является не периапикальный очаг (см. рис. 21-12).
В четырех ретроспективных исследованиях коронально расположенные свищевые ходы были обнаружены в 13% - 35% случаев. В случае обнаружения свищевого хода в области фуркации моляра, это не обязательно будет свидетельствовать о наличии вертикального перелома корня, поскольку периапикальный абсцесс вследствие неудовлетворительного эндодонтического лечения также может открываться свищевым ходом в этой области.
Рентгенографические особенности
Иногда окончательный диагноз вертикального перелома корня может быть поставлен при наличии тонкой линии просветления на рентгенограмме вдоль корня. Такую линию однако обнаружить нелегко, на регулярных прицельных рентгенограммах она обычно не видна либо из-за маскировки корневым пломбировочным материалом, либо если угол съемки не оптимален для обнаружения перелома (см .рис. 21-13) (Рис. 21-20 и 21-21). Rud и Omnell показали, что при видимости линии перелома в 35,7% случаев, многие из этих случаев тем не менее не являлись истинными вертикальными переломами корня. На практике все еще редко вертикальный перелом корня обнаруживается на рентгенограммах, особенно если проводится единичный прицельный снимок. При этом плоскость перелома не должна совпадать с плоскостью датчика и линия перелома не должна перекрываться корневой пломбой (рис.21-20, А). Следовательно, при подозрении на перелом, следует сделать два или три снимка под разными углами (см рис. 21-21 и 21-22)

РИС. 21-20 Рентгенограмма пустого канала ex vivo. Левый второй нижний премоляр был лечен эндодонтически без использования штифта. Через тринадцать месяцев пациент начал жаловаться на боль и чувствительность при дотрагивании с язычной поверхности. Рентгенограмма не показала ничего необычного (А). С язычной стороны был обнаружен изолированный карман глубиной 7 мм и зуб был удален. На щечной (В) и язычной (С) поверхностях средней трети корня видны вертикальные переломы. Рентгенограмма после удаления также без признаков дефекта (D). После удаления корневой пломбы были сделаны рентген снимки под разными углами (E,F). На одном из них четко виден вертикальный перелом корня (F).

РИС. 21-21 Рентгенограмма пустого канала: клинический случай. Правый верхний латеральный резец был лечен по поводу осложненного кариеса несколько лет назад. Пациент жаловался на периодические боли с небной стороны. Реакция зуба на перкуссию и пальпацию с небной поверхности положительная. На рентгенограмме обнаружен периапикальный очаг просветления (А). С небной поверхности корня был обнаружен глубокий узкий единичный карман. И пациент, и врач не хотели удалять зуб, предположив, что карман, возможно, является свищевым ходом, и приняли решение перелечить канал. Рентгенограмма с файлом в процессе лечения (В) могла скрыть важную информацию, которую заслонил файл, а именно очевидный вертикальный перелом корня (С).

РИС 21-22 Диагональные рентгенограммы для обнаружения вертикального перелома корня. А) Рентгенограмма в прямой проекции: виден весьма небольшой очаг деструкции кости. В) Рентгенограмма под другим углом выявляет очаг просветления вдоль корня. С) Схематическое изображение. Рентгенограмма в прямой проекции (синие линии) не обнаруживает поражение вдоль корня, а в проекции под углом (черные линии) - да, как в случае В.
В большинстве случаев вертикального перелома корня врачу приходится интерпретировать разнообразные виды очагов костной деструкции, которые к сожалению могут иметь источник еще и периодонтального и периапикального генеза.
На ранней стадии вертикальный перелом корня может не давать участков просветления на рентгенограмме (см. рис. 21-14), что может являться причиной запоздалой постановки диагноза и начала лечения. Rud и Omnell провели корелляционный анализ расположения перелома, степени деструкции кости и выраженность на рентгенограмме и сделали вывод, что объем поражения костной ткани вокруг корня зависит от локализации перелома и количества времени, которое прошло с момента его возникновения. Значимость промежутка времени была подтверждена Meister и соавторами, которые подтвердили, что ранняя видимость дефекта на рентгенограмме не присутствует, пока не прошло время, необходимое для резорбции кости или разъединения фрагментов корня. При изучении вариантов костной резорбции в 110 случаях вертикального перелома корня Lustig с соавторами обнаружили, что у 72% пациентов с хроническими проявлениями (свищевой ход, костный дефект, подвижность) или в стадии обострения объем костного поражения был более значительным, чем у тех, кому диагноз вертикального перелома корня был поставлен на ранних стадиях.
Несмотря на сложность ранней диагностики вертикального перелома корня в депульпированных зубах, есть несколько рентгенологических признаков, которые очень четко проявляются при поздней стадии ВПК.
Наличие очага просветления костной ткани в форме ореола или буквы J, как сочетания периапикального и перирадикулярного поражений указывает на высокую вероятность наличия вертикального перелома корня, как выяснилось в результате двойного слепого рентгенографического исследования 102 эндодонтически леченных верхних премоляров (см. рис. 21-15). В 14% случаев была обнаружена горизонтальная резорбция костного гребня вдоль корня с одной или двух сторон, похожая на очаг деструкции при маргинальном периодонтите (см. рис. 21-15). Tamse с соавторами также рапортовали о наличии «ореола» (см. рис. 21-10) и очагах, похожих на маргинальный периодонтит (см. рис. 21-10) при вертикальных переломах медиальных корней нижних моляров (37% и 29% соответственно). В данном исследовании наличие одного из этих двух признаков в сочетании с вовлечением области бифуркации (63%) и присутствием амальгамового штифта (67%), соответствовало наличию перелома в 78% случаев. Прочие исследователи получали схожие результаты. Несмотря на различные цели, виды и объемы выборки исследований, общим рентгенографическим признаком во всех них было наличие латерального очага просветления вдоль корня и присутствие ореола.
Просветление костной ткани вдоль корня
Очаг просветления при вертикальном переломе корня - это не утолщение периодонтальной связки. Это существенная деструкция кортикальной пластинки альвеолярной кости (см. рис. 21-14). В случае вертикального перелома корня в щечно-язычной плоскости резорбция кости на ранней стадии часто ограничена, и очаг просветления не виден на фоне корня (см.рис. 21-14). По мере увеличения потери кости очаг просветления становится больше чем корень, и соответственно более заметен (см. рис. 21-14). В середине прогресса вертикального перелома корня рентгенограммы, сделанные под углом, могут обнаружить резорбцию кости (см. рис. 21-22), когда в прямой проекции она может быть не видна (см. рис. 21-14 и 21-22). Данный рентгенографический признак следует отличать от продольного перелома зуба, когда плоскость перелома проходит обычно мезиодистально и деструкция кости присутствует уже в ранней стадии с проксимальных сторон корня.
Рентгенография незаполненного канала
Как уже говорилось, обнаружение вертикального перелома корня на ранней стадии на прицельной рентгенограмме маловероятно, особенно если канал зуба запломбирован. Так как большинство переломов возникает в щечно-язычной плоскости, их просвет на рентгенограмме маскируется корневой пломбой (см. рис. 21-13 и 21-20). При подозрении наличия вертикального перелома корня можно начать перелечивание корневого канала, провести дезобтурацию и сделать несколько рентгенограмм под разными углами. При обнаружении тонкой линии просветления можно с большей уверенностью ставить диагноз вертикальный перелом корня (см. рис. 21-20 и 21-21).
Конусно-лучевая компьютерная томография при диагностике вертикального перелома корня
Современная конусно-лучевая компьютерная томография (КЛКТ) дает гораздо меньшую радиационную нагрузку, чем традиционное медицинское спиральное КТ исследование, что делает ее разумным диагностическим инструментом в определенных эндодонтических случаях.
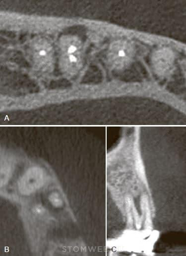
Одной из особенностей КЛКТ является возможность получить изображение зуба и прилежащей костной ткани в вертикальной плоскости. Вертикальные срезы могут предоставить подробную информацию относительно состояния зуба и окружающей его кости (рис. 21-23). Для доступных сегодня КЛКТ устройств ширина переломов без разъединения фрагментов может быть слишком мала и неразличима (см. рис. 21-23). Прицельные рентгенограммы также не слишком помогают при ранней диагностике вертикальных переломов корня. Точнее, деструкция кости или разъединение фрагментов становятся заметны только на более поздних стадиях. Некоторые исследования показали, что обнаружение вертикального перелома корня ранней стадии возможно на вертикальных срезах КЛКТ. Однако возможность обнаружения в значительной степени будет зависеть от разрешающей способности устройства (размер вокселя). При величине вокселя 0,3 мм обнаружение раннего, вертикального перелома корня без смещения маловероятно; при меньшем размере вокселя вероятность обнаружения значительно возрастает. Хотя считается, что размер обнаруживаемой трещины должен быть в два раза больше размера вокселя, документально данная теория не подтверждена. Таким образом, при наименьшем размере вокселя в доступных на сегодняшний день устройствах для КЛКТ 0,075 мм такое устройство обнаружит трещину корня только если она будет шире 0,15 мм. Также следует отметить, что наличие в канале гуттаперчи или металлического штифта часто приводит к появлению артефактов, которые очень сложно отличить от вертикального перелома корня.

РИС 21-23 «Невидимая» костная деструкция при вертикальном переломе корня. А) Вертикальный перелом щечной поверхности медиального корня первого левого нижнего моляра. На ранней стадии уже обнаружен типичный для вертикального перелома корня карман, однако сопутствующей деструкции кости на прицельной рентгенограмме не видно. Зато ее хорошо видно на вертикальном срезе КЛКТ. В) Вертикальный перелом небной поверхности щечного корня первого верхнего премоляра. Присутствует свищевой ход с отделяемым без каких либо признаков поражения на рентгенограмме. С) На КЛКТ обнаружен очаг просветления костной ткани с небной стороны щечного корня, который, как выяснилось после удаления зуба, явился следствием вертикального перелома корня. Заметьте, что ни в одном из представленных случаев линия перелома не была заметна на КЛКТ.
Хотя раннее обнаружение вертикального перелома корня все еще не под силу современным устройствам КЛКТ, ранняя деструкция костной ткани возле подозреваемого перелома вполне может быть заметна на вертикальных срезах, когда она еще не видна на прицельных снимках; Такие обнаруженные очаги деструкции могут помочь установить диагноз вертикальный перелом корня (см. рис. 21-23).
При вероятном увеличении разрешающей способности в ближайшем будущем, КЛКТ может стать необходимым диагностическим инструментом для обнаружения вертикальных переломов корня. На сегодняшний день ни последнее обновление общего руководства Американской Ассоциации Эндодонтистов и Американской Академии Челюстно-лицевой Радиологии (2010), ни руководство Европейского Сообщества Эндодонтологов по использованию КЛКТ в эндодонтии (2014) не рекомендуют использовать КЛКТ при диагностировании вертикального перелома корня.
Улучшения формирования изображения в КЛКТ - такие как лучшее соотношение сигнал-помеха, получение меньшего размера вокселя, применение улучшенных алгоритмов для выделения линий переломов - смогут в будущем обеспечить потенциал увеличения возможности обнаружения вертикальных переломов корня на ранней стадии.
Диагностическая хирургия
При неоднозначности клинических и рентгенологических проявлений для подтверждения вертикального перелома корня может быть показано диагностическое хирургическое вмешательство. После отбрасывания полнослойного лоскута и удаления грануляционной ткани вертикальный перелом корня часто можно визуализировать непосредственно (см. рис. 21-14 и 21-24). Тип костной деструкции при вертикальном переломе корня выглядит обычно как костная дегисценция с более интенсивной деструкцией в области щечной кортикальной пластинки над причинным корнем. Редко можно обнаружить порозность кости. Кроме того, было обнаружено, что объем разрушения кости тем объемнее, чем дольше присутствует инфекция, связанная с вертикальным переломом корня.

РИС. 21-24 Апикальный вертикальный перелом корня без наличия карманов. Правый верхний центральный резец с болевой симптоматикой при адекватно проведенной эндодонтии. Очаг просветления костной ткани присутствовал вокруг верхушки, однако карманов обнаружено не было. При попытке апикальной хирургии был обнаружен вертикальный перелом апикальной части корня, который (пока) не распространился к десневой области и поэтому не привел к образованию карманов. В данном случае использовался полулунный лоскут, так как предполагалась резекция верхушки корня. Если бы операция проводилась с диагностической целью для подтверждения вертикального перелома корня, использовался бы традиционный полный лоскут.
Этиология
Вертикальные переломы корня могут быть следствием целого ряда причин, одни из которых естественные, в то время как другие - ятрогенные, такие как эндодонтическое лечение и последующая реставрация. Самой частой стоматологической процедурой, приводящей к вертикальным переломам корня, является эндодонтическое лечение.
Большинство вертикальных переломов корня возникает в депульпированных зубах. Обычно это происходит не непосредственно в процессе обтурации канала, а спустя продолжительное время.
Вертикальный перелом корня - это полиэтиологическое поражение. Вероятнее всего, что к вертикальному перелому корня приводят цикличные долговременные (месяцы и годы) функциональные или парафункциональные нагрузки при наличии одного или нескольких предрасполагающих факторов. Такими факторами могут быть как естественные (анатомия корня), так и ятрогенные (избыточное давление на стенки корня и объем удаленных тканей в процессе инструментальной обработки, избыточное давление при обтурации канала).
Естественные предрасполагающие факторы
Форма поперечного сечения корня
Вертикальные переломы корня часто возникают в зубах с овальным поперечным сечением корня, когда корень шире в язычно-щечном направлении, чем проксимально. Это верхние и нижние премоляры, медиальные корни нижних моляров и нижние резцы (Рис. 21-25, А и В). Такая форма может быть наглядно представлена на поперечных срезах КЛКТ (см. рис. 21-25 А и В). Перелом в этих зубах обычно начинается в щечно-язычной плоскости , а именно, в области наибольшей выпуклости корня (см. рис. 21-25, А и В). Данное заключение на основе изучения большого количества клинических случаев подтверждено также методом анализа конечных элементов. Этот метод четко продемонстрировал концентрирование напряжений на внутренней поверхности дентина в наиболее выступающих частях (то есть со щечной и язычной сторон овального корня) (рис. 21-26).

РИС 21-25 Анатомические предрасполагающие факторы. А) Поперечный срез КЛКТ верхней челюсти, на котором видна овальная форма поперечного сечения каналов клыка и второго премоляра. В) Поперечный срез нижней челюсти, демонстрирующий овальную форму каналов резцов, клыков, премоляров и дистальных корней моляров. Овальное строение в сочетании с эндодонтическим лечением связывают с более высокой вероятностью образования вертикальных переломов корня. С, D) Вогнутость с дистальной стороны медиальных корней нижних моляров также является зоной риска, когда при избыточной инструментальной обработке в сочетании с выпрямлением канала происходит истончение дентинной стенки с концентрацией напряжения в этой области. E, F) Вогнутость небной поверхности щечного корня первого верхнего премоляра (Е - срезы; F - поперечный срез КЛКТ исследования). Такие углубления также могут стать потенциальной зоной риска. Ни одна из вогнутых поверхностей на изображениях С, D, E, F не будет видна на прицельном снимке. Необходимо отметить, что КЛКТ исследование не следует проводить по умолчанию при плановых осмотрах, а только в соответствии с показаниями, обозначенными компетентными органами (Американская Ассоциая Эндодонтистов, Американская академия оральной и Челюстно-лицевой радиологии)

РИС. 21-26 Анализ конечных элементов распределения напряжений в овальном корне. Обратите внимание на концентрацию напряжения на внутренней поверхности наиболее выпуклой части сохраненного дентина. Красным и оранжевым цветами обозначены области с бОльшим напряжением, голубым цветом - с меньшим.
Окклюзионные факторы
Чрезмерная жевательная нагрузка или ее концентрация может быть еще одним естественным предрасполагающим фактором. Примером могут служить преждевременные окклюзионные контакты на верхних премолярах или чрезмерные жевательные нагрузки, особенно в случае нижних седьмых зубов. В сочетании с другими естественными и ятрогенными предрасполагающими факторами окклюзионные перегрузки с течением времени могут приводить к вертикальным переломам корня.
Предшествующие микротрещины
Предшествующие микротрещины могут присутствовать в дентине корня, вероятно из-за наличия парафункций. О наличии таких дефектов недавно докладывали Barreto и соавторы. Они обнаружили эти микротрещины в 40% интактных верхних резцов и клыков.
Ятрогенные предрасполагающие факторы
Пломбировка корневого канала
Вертикальные переломы корня чаще всего встречаются в депульпированных зубах; таким образом, эндодонтическое лечение само по себе можно отнести к ятрогенным предрасполагающим факторам. Ранее предполагалось, что зубы после эндодонтического лечения более склонны к появлению трещин из-за дегидратации. Однако более поздние исследования не обнаружили каких либо изменений физических свойств дентина после эндодонтического лечения каналов.
Хотя физические параметры дентина как материала могут не изменяться в результате эндодонтического лечения, корневой дентин, как структура, может страдать от комбинированного накопленного воздействия нескольких естественных или ятрогенных факторов связанных с эндодонтическим лечением и последующей реставрацией зуба. Это может являться причиной частоты встречаемости вертикальных переломов корня в эндодонтически леченых зубах.
Для практикующего врача крайне важно осознать эту взаимосвязь и приложить все усилия для минимизации тех воздействий, которые могут привести к возникновению перелома корня в процессе эндодонтического лечения.
Избыточная механическая обработка корневого канала
Избыточная механическая обработка корневого канала может быть предрасполагающим фактором для возникновения вертикального перелома корня. В одном из исследований было обнаружено более частое появление трещин, выявляемых методом трансиллюминации, при постепенном увеличении объема механически обрабатываемых тканей канала. Для снижения риска возникновения вертикальных переломов корня имеет смысл сделать выбор в пользу минимально инвазивных методов инструментальной обработки каналов (рис. 21-27)

РИС. 21-27 Минимально инвазивная механическая обработка корневых каналов. При данной обработке со всех стенок канала снимается слой дентина одинаковой толщины с помощью самоадаптирующегося файла (SAF), в противовес использованию вращающихся эндодонтических инструментов, когда канал приобретает в поперечном сечении круглую форму.
Микротрещины, возникающие при использовании машинных файлов
Shemesh и другие исследователи обнаружили, что при использовании для препарирования корневого канала никель-титановых вращающихся и реципрокных инструментов в корневом дентине часто образуются микротрещины (рис. 21-28). Данный факт, изначально обнаруженный в исследовании однокорневых зубов, был позже подтвержден Yoldas и соавторами при изучении образования микротрещин из-за обработки машинными файлами медиальных корней нижних моляров. Все системы машинных файлов в данном исследовании сопровождались высокой частотой возникновения микротрещин в дентине, тогда как при использовании ручных файлов в сочетании с саморегулирующимися файлами (SAF) трещин не возникало (рис. 21-29).

РИС. 21-28 Микротрещины в однокорневых зубах, вызванные применением машинных никель-титановых файлов. А) Контроль: ручные файлы не приводят к возникновению микротрещин. В,С) Машинные файлы: в корневом дентине образуются микротрещины (стрелки).

РИС. 21-29 Микротрещины, образовавшиеся в медиальных корнях нижних моляров при использовании машинных никель-титановых инструментов. А) Контроль: ручные файлы не приводят к возникновению микротрещин. Машинные файлы: в корневом дентине образуются микротрещины (стрелки). В) Трещина не на всю толщину дентина. С) Трещина через весь дентин. D) Саморегулирующийся файл: трещин не образуется.
Выполненный Kim и соавторами анализ конечных элементов подтверждает и может объяснить эти выводы. Данные исследователи (как и Shemesh, Bier, Adorno, Yoldas, Bürklein и др.) сообщают о возникновении напряжения при использовании вращающихся машинных файлов в поверхностных слоях корневого дентина, превышающем предел его эластичности, и как следствие образуются микротрещины. Дополнительные нагрузки при латеральной конденсации гуттаперчи или перелечивании корней, которые ранее уже обрабатывались машинными инструментами, приводят к распространению некоторых микротрещин на всю толщину дентина, и тогда они уже ничем не отличаются от вертикальных переломов корня.
Взаимосвязь всех перечисленных моментов с последующими клиническими проявлениями вертикальных переломов корня требует дальнейшего изучения. В любом случае, учитывая механизм образования переломов, возникновение микротрещин следует рассматривать, по меньшей мере, как потенциальный предрасполагающий фактор.
Неравномерная толщина корневого дентина
Механическая обработка каналов часто приводит к неравномерности толщины стенок корней, особенно при выпрямлении искривленных каналов. Неравномерная толщина дентина также образуется при агрессивной механической обработке медиальных корней нижних моляров или первых верхних премоляров, где встречаются проксимальные вогнутости, которые не видны на прицельных рентгенограммах (рис. 21-25, С и D). В таких «зонах риска» увеличение внутреннего напряжения при малой толщине дентина может потенциально привести к перелому. Борозда, которая часто присутствует на небной поверхности щечного корня верхних двухкорневых премоляров, является еще одним примером таких скрытых зон риска (Рис. 21-25, Е и F).
Использование язычного доступа при лечении резцов также может явиться причиной большего истончения вестибулярной стенки корня в апикальной трети по сравнению с язычной стенкой. Такое часто происходит при агрессивном использовании жестких инструментов большого размера. При латеральной конденсации ex vivo в подобном случае была зарегистрирована концентрация напряжения в истонченной вестибулярной стенке апикальной части корня (рис. 21-30 и 21-31).

РИС. 21-30 Измерение напряжений. Регистраторы микронапряжений (А, крупное увеличение) присоединяются к поверхности корня в исследуемых областях (В). Зуб фиксируется в цилиндре из эластичного оттискного материала (С), а регистраторы напряжения через 3/4 мост Уитстона (D) подсоединяются к системе обработки информации (Е). Результатом продолжительной регистрации силы приложенной к спредеру и напряжений, которые возникают в исследуемой области, является анализ, представленный на рис. 21-31 и 21-32.

РИС. 21-31 Сравнение возникающих напряжений при латеральной конденсации в корнях с равномерной и неравномерной толщиной стенок. Распределение напряжений, возникающих в вестибулярной и оральной стенках апикальной области верхнего центрального резца в процессе латеральной конденсации гуттаперчи. А) Толщина дентина вестибулярной и оральной стенок корня одинакова. Каждое введение спредера регистрируется как максимум нагрузки. Деформационное напряжение обнаруживается при каждом введении, и оно одинаково с небной и с губной стороны. В) Толщина дентина с вестибулярной стороны меньше, чем с небной (неравномерна) из-за создания язычного доступа и применения инструмента высокой жесткости. Каждое ручное введение спредера регистрируется как максимум нагрузки. При каждом введении с губной стороны наблюдается деформационное напряжение, тогда как с язычной стороны регистрируется компрессия.
Использование гибких никель-титановых инструментов и минимально инвазивных систем, таких как саморегулирующийся файл, может уменьшить вероятность осложнений (см. рис. 21-27).
Методы обтурации корневых каналов
Определенные методы пломбировки корневых каналов, такие как латеральная конденсация, сопровождаются применением внутреннего воздействия на стенки корня спредером, что может приводить к деформациям и последующему распространению микротрещин через всю толщу дентина. Другие техники, такие как термопластическая гуттаперча, создают меньшее давление и могут снизить риск возникновения вертикальных переломов корня.
Тип используемых спредеров
Использование более толстых и жестких стальных спредеров может вести к увеличению напряжения в корневом дентине и более высокой частоте случаев переломов корня. Замена их на более гибкие спредеры с меньшим диаметром может значительно снизить риски. Никель-титановые спредеры создают меньшую нагрузку при введении, чем стальные, и уменьшают напряжение, возникающее в корневом дентине в процессе обтурации каналов (рис. 21-32).

РИС. 21-32 Сравнение напряжения, возникающего в дентине при использовании стальных и никель- титановых спредеров. При введении спредера в процессе латеральной компакции возникает напряжение на вестибулярной поверхности апикальной части корня верхних центральных резцов. Верхние графики: нагрузка и напряжение, зарегистрированные при использовании стального спредера. Нижние графики: тот же канал был распломбирован и запломбирован заново с использованием никель-титанового спредера. Размер спредера и глубина введения были одинаковы в обоих случаях. Никель-титановый спредер требовал меньшего усилия для введения и создавал меньшее напряжение, чем стальной.
Форма штифтовой конструкции
Выбор типа, формы и способа установки штифтовой конструкции оказывает значительное влияние на распределение напряжений в корне. Установка слишком длинных или широких штифтов считается предрасполагающим фактором для возникновения вертикальных переломов корня. Использование штифтов неизбежно увеличивает риск перелома корня, особенно при избыточном истончении стенок корня. Штифты следует использовать только при крайней необходимости, когда ретенция коронки без них невозможна.
Границы искусственной коронки
Когда идет речь о депульпированных зубах, то коронки с опорой на феррул (то есть здоровый дентин по всему периметру зуба) обеспечивают более равномерное распределение нагрузки, чем когда край коронки опирается на искусственную надстройку культи. Данное условие может помочь исключить еще один предрасполагающий фактор к вертикальному перелому корня.
Заключение
Таким образом, хотя эндодонтическое лечение является необходимым во многих случаях, крайне важно минимизировать, насколько это возможно, влияние каждого из ятрогенных предрасполагающих факторов, поскольку все они в совокупности оказывают общий негативный эффект.
Планирование лечения
Основой при терапии вертикальных переломов корня является их профилактика. Существует множество предрасполагающих факторов и ятрогенных причин, которые должны быть минимизированы, насколько это возможно. Вертикальные переломы корня могут присутствовать в зубах, которые подлежат перелечиванию каналов, но иногда они обнаруживаются и в зубах, ранее не леченных. Поэтому каждый зуб, который запланировано эндодонтически лечить или перелечивать, обязательно нужно внимательно изучить клинически, рентгенологически и в периодонтологическом аспекте. При этом необходимо наличие гибкого периодонтального зонда.
При подтверждении наличия вертикального перелома корня рекомендуется как можно раннее удаление пораженного зуба или корня. Любое промедление будет сопровождаться все большей деструкцией прилегающей костной ткани и может исключить шанс последующей имплантации в этой области. Таким образом, крайнюю важность приобретает ранняя диагностика. Любые попытки закрыть трещину каким-то реставрационным материалом уже изучались, ни одна из них не обеспечивала какого-либо продолжительного надежного эффекта.
Резюме
В связи с широким разнообразием различных типов трещин и переломов зубов, на разных этапах их развития могут присутствовать бессчетные симптомы и проявления, которые крайне затрудняют постановку диагноза. Осознание того, что многие из этих симптомов являются проявлением определенной стадии развивающегося процесса, поможет проще их интерпретировать.
Протяженность трещины напрямую может влиять на оценку прогноза и планирование лечения определенного зуба; наличие перелома может привести к потере зуба и ухудшению качества прилежащей костной ткани. Таким образом, для зубов с подозрением на трещину или перелом крайне важно раннее подтверждение диагноза, оценка прогноза и планирование лечения. Кроме того, при эндодонтическом лечении и реставрации необходимо обеспечить минимизацию любых, предрасполагающих к появлению трещин и переломов, негативных воздействий.
Александр Зыбайло
Арсланг Лукшанов