Перевод: Александр Шишов
Дентинно-цементное соединение
Многие авторы, соглашаясь с Grove, придерживаются мнения, что обтурация должна заканчиваться на дентинно-цементном соединении, которое соответствует наибольшему апикальному сужению. На этом уровне заканчиваются ткани пульпы, и начинаются ткани периодонта. Стенки состоят уже не из дентина, а из цемента. В теории, эта точка зрения верна, поскольку апикальное сужение должно гарантировать хороший барьер пломбировочному материалу. При заполнении канала до этой точки, пломбировочный материал не попадает в ткани периодонта. На практике, конечно, все происходит по- другому.
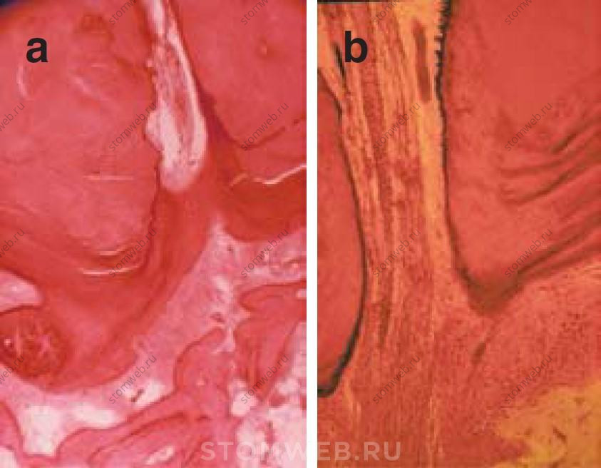
Еще в 1929 году Coolidge написал, что местоположение дентинно-цементного соединения очень сильно варируется, поэтому использовать его как ориентир не имеет особого смысла. У данного соединения очень нечеткие границы, и оно может быть обнаружено на разных уровнях корневого канала (Рис. 1a). Дентинно-цементное соединение может быть обнаружено даже на внешней поверхности корня. Skillen также подчеркивал, что гистологически невозможно определить границу между пульпой с одной стороны и «периодонтальной мембраной» с другой (Рис. 1b).

 
     
     
     
     
     
     
    